Formulation Supplied at 0.5 mg/ml in Tris saline, 0.02% sodium azide, pH7.3 with 0.5% bovine serum albumin.
| |
Unit Size 100 µg | |
Storage Instructions Aliquot and store at -20°C. Minimize freezing and thawing. | |
Synonym / Alias Names Zic family member 5 (odd-paired homolog, Drosophila)|zinc family member 5 protein|zinc finger protein of the cerebellum 5|ZIC5 | |
Accession ID NP_149123.2 | |
Blocking Peptide EBP05745 | |
Immunogen Peptide with sequence C-EIYGNPEVVRTIH, from the C Terminus of the protein sequence according to NP_149123.2. | |
Peptide Sequence C-EIYGNPEVVRTIH | |
Purification Method Purified from goat serum by ammonium sulphate precipitation followed by antigen affinity chromatography using the immunizing peptide. | |
Shipping Instructions Refrigerated | |
Predicted Species Human | |
Reactive Species Human | |
Human Gene ID 85416 | |
Product Grade ![]() | |
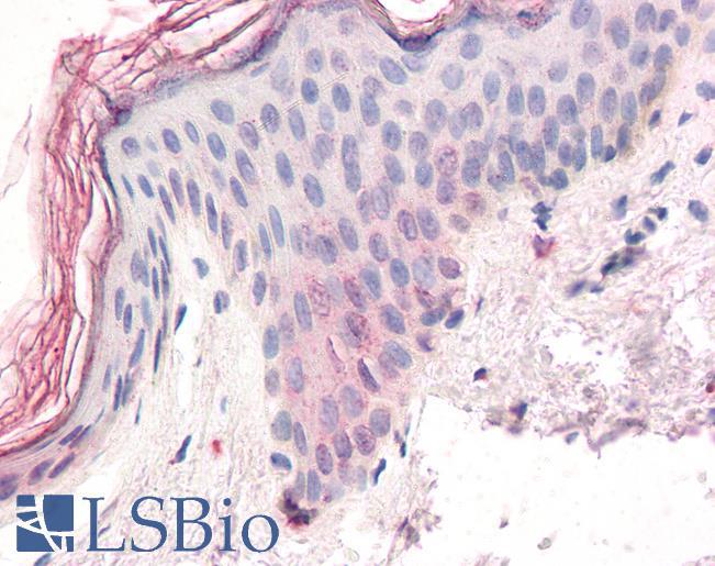
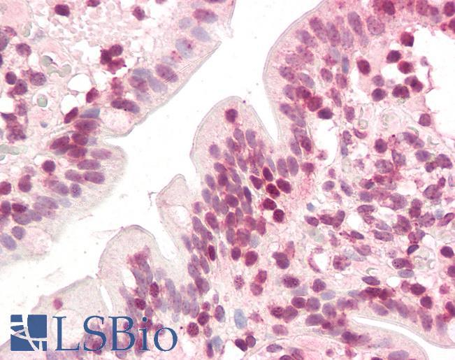
IHC Results Paraffin embedded Human Small Intestine, Skin and Prostate. Recommended concentration: 3.75µg/ml. | |
ELISA Detection Limit Antibody detection limit dilution 1:128000. | |
Application Type Pep-ELISA, IHC |
Goat Anti-ZIC5 Antibody
$431.00
| SKU | Unit Size | Price |
|---|---|---|
Select a unit size:
Documents |



