Formulation Supplied at 0.5 mg/ml in Tris saline, 0.02% sodium azide, pH7.3 with 0.5% bovine serum albumin.
| |
Unit Size 100 µg | |
Storage Instructions Aliquot and store at -20°C. Minimize freezing and thawing. | |
Synonym / Alias Names Zrfp1|Znrf1|zinc/RING finger protein 1|zinc ring finger protein 1|zinc and ring finger 1|Rnf42|ring finger protein 42|peripheral nerve injury protein nin283|nin283|nerve injury-induced gene 283 protein|MGC101991|E3 ubiquitin-protein ligase ZNRF1|B830022L21Rik | |
Accession ID NP_573469.1; NP_001162093.1 | |
Blocking Peptide EBP11598 | |
Immunogen Peptide with sequence C-SDSTYAHGNGYQET, from the internal region of the protein sequence according to NP_573469.1; NP_001162093.1. | |
Product Comments This antibody is expected to recognize reported isoforms a and b (NP_573469.1; NP_001162093.1). Reported variants represent identical protein: NP_001162092.1, NP_573469.1 | |
Peptide Sequence C-SDSTYAHGNGYQET | |
Purification Method Purified from goat serum by ammonium sulphate precipitation followed by antigen affinity chromatography using the immunizing peptide. | |
Shipping Instructions Refrigerated | |
Predicted Species Human, Mouse, Rat, Dog, Pig, Cow | |
Reactive Species Human, Mouse | |
Human Gene ID 84937 | |
Mouse Gene ID 170737 | |
Rat Gene ID 690769 | |
Product Grade ![]() | |
IHC Results In paraffin embedded Mouse Cerebral Cortex shows colabeling with Neurofilament M. Recommended concentration, 10µg/ml. Data obtained from Dr. Shuji Wakatsuki, National Institute of Neuroscience, Tokyo, Japan. Paraffin embedded Human Brain (Cerebellum). Recommended concentration: 5µg/ml. | |
ELISA Detection Limit Antibody detection limit dilution 1:32000. | |
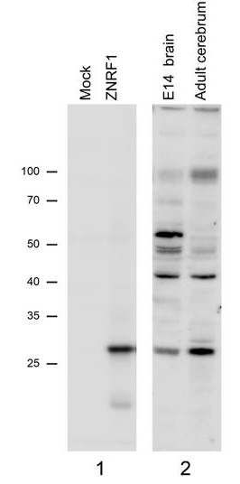
Western Blot Approx 28kDa band observed in Mouse embryo and adult Brain lysates (right panel), consistent with the observed band in transfected N2a cells transiently expressing Znrf1(left panel) Calculated MW of 23.8kDa according to NP_573469.1. Recommended concentration: 1-3µg/ml. Data obtained from Dr. Shuji Wakatsuki, National Institute of Neuroscience, Tokyo, Japan | |
Application Type Pep-ELISA, WB, IHC |
Goat Anti-ZNRF1 (mouse) Antibody
$431.00
| SKU | Unit Size | Price |
|---|---|---|
Select a unit size:
Documents |



