Formulation Supplied at 0.5 mg/ml in Tris saline, 0.02% sodium azide, pH7.3 with 0.5% bovine serum albumin.
| |
Unit Size 100 µg | |
Storage Instructions Aliquot and store at -20°C. Minimize freezing and thawing. | |
Synonym / Alias Names aromatic hydrocarbon receptor|AH-receptor|aryl hydrocarbon receptor|AHR | |
Usage Summary Immunofluorescence: Strong expression of the protein seen in the cytoplasm of U2OS and HeLa cells. Recommended concentration: 10µg/ml.
Flow Cytometry: Flow cytometric analysis of HeLa cells. Recommended concentration: 10ug/ml. | |
Accession ID NP_001612.1 | |
Blocking Peptide EBP09247 | |
Immunogen Peptide with sequence C-PENQKHGLNPQSA, from the internal region of the protein sequence according to NP_001612.1. | |
Peptide Sequence C-PENQKHGLNPQSA | |
Purification Method Purified from goat serum by ammonium sulphate precipitation followed by antigen affinity chromatography using the immunizing peptide. | |
Shipping Instructions Refrigerated | |
Predicted Species Human | |
Reactive Species Human | |
Human Gene ID 196 | |
Product Grade ![]() | |
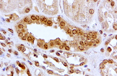
IHC Results In paraffin embedded Human Kidney shows both cytoplasm and nuclear staining in DCT. Recommended concentration: 2-4µg/ml. | |
ELISA Detection Limit Antibody detection limit dilution 1:1000. | |
Application Type Pep-ELISA, IHC, IF, FC |
Goat Anti-AHR Antibody
$431.00
| SKU | Unit Size | Price |
|---|---|---|
Select a unit size:
Documents |




