Formulation Supplied at 0.5 mg/ml in Tris saline, 0.02% sodium azide, pH7.3 with 0.5% bovine serum albumin.
| |
Unit Size 100 µg | |
Storage Instructions Aliquot and store at -20°C. Minimize freezing and thawing. | |
Synonym / Alias Names cAMP responsive element binding protein 1|OTTHUMP00000035266|RP11-422P24.8|cAMP responsive element binding protein 3-like 4, JAL, hJAL, ATCE1, CREB3, CREB4, androgen-induced basic leucine zipper|AIBZIP | |
Usage Summary Immunofluorescence: Strong expression of the protein seen in A431 and U2OS cells. Recommended concentration: 10µg/ml.
Flow Cytometry: Flow cytometric analysis of A431 cells. Recommended concentration: 10ug/ml. | |
Accession ID NP_570968.1; NP_001242909.1 | |
Blocking Peptide EBP05393 | |
Immunogen Peptide with sequence C-PSGRIRSVLHADEM, from the C Terminus of the protein sequence according to NP_570968.1; NP_001242909.1. | |
Product Comments This antibody is expected to recognize both reported isoforms (NP_570968.1; NP_001242909.1). Reported variants represent identical protein: NP_001242908.1, NP_570968.1, NP_001242907.1 Reported variants represent identical protein: NP_001242909.1, NP_001242910.1 | |
Peptide Sequence C-PSGRIRSVLHADEM | |
Purification Method Purified from goat serum by ammonium sulphate precipitation followed by antigen affinity chromatography using the immunizing peptide. | |
Shipping Instructions Refrigerated | |
Predicted Species Human | |
Reactive Species Human | |
Human Gene ID 148327 | |
Product Grade ![]() | |
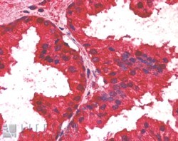
IHC Results In paraffin embedded Human Prostate shows strong staining of cytoplasm in the secretory cells of the gland. Recommended concentration: 2-4µg/ml. | |
ELISA Detection Limit Antibody detection limit dilution 1:32000. | |
Western Blot Approx. 50kDa band observed in Human Kidney and Placenta lysate, and in lysates of cell lines MDA-MB-231, A431 and MCF7 (calculated MW of 43.4kDa according to NP_570968.1). Recommended concentration: 0.003-0.5µg/ml. Primary incubation 1 hour at room temperature. | |
Application Type Pep-ELISA, WB, IHC, IF, FC |
Goat Anti-AIBZIP / CREB3L4 Antibody
$464.00
| SKU | Unit Size | Price |
|---|---|---|
Select a unit size:
Documents |






