Formulation Supplied at 0.5 mg/ml in Tris saline, 0.02% sodium azide, pH7.3 with 0.5% bovine serum albumin.
| |
Unit Size 100 µg | |
Storage Instructions Aliquot and store at -20°C. Minimize freezing and thawing. | |
Synonym / Alias Names autoimmune polyendocrinopathy candidiasis ectodermal dystrophy|OTTHUMP00000109529|AIRE1|autoimmune regulator|autoimmune regulator (autoimmune polyendocrinopathy candidiasis ectodermal dystrophy)|autoimmune regulator (APECED protein)|AIRE protein|APECED|PGA1|APSI|APS1|autoimmune regulator (automimmune polyendocrinopathy candidiasis ectodermal dystrophy)|AIRE | |
Usage Summary Immunofluorescence: Strong expression of the protein seen in the nucleoplasm and nuclear membranes of U2OS and HeLa cells. Recommended concentration: 10µg/ml.
Flow Cytometry: Flow cytometric analysis of Jurkat cells. Recommended concentration: 10ug/ml. | |
Accession ID NP_000374.1 | |
Blocking Peptide EBP05507 | |
Immunogen Peptide with sequence C-QSMARPAAPFPS, from the C Terminus of the protein sequence according to NP_000374.1. | |
Peptide Sequence C-QSMARPAAPFPS | |
Purification Method Purified from goat serum by ammonium sulphate precipitation followed by antigen affinity chromatography using the immunizing peptide. | |
Shipping Instructions Refrigerated | |
Predicted Species Human | |
Reactive Species Human | |
Human Gene ID 326 | |
Product Grade ![]() | |
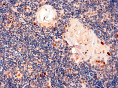
IHC Results In paraffin embedded Human Thymic medula shows staining of select nuclei. Recommended concentration: 2.5µg/ml. | |
ELISA Detection Limit Antibody detection limit dilution 1:128000. | |
Western Blot Preliminary testing showed an approx 60kDa band in nuclear lysates of cell line Jurkat and in Human Spleen lysates (calculated MW of 57.7kDa according to NP_000374.1). Recommended concentration: 1-2µg/ml. Primary incubation 1 hour at room temperature. Negative Control: Human Smooth Muscle lysate. This product has been successfully used in Western blot by an anonymous customer on HEK293 cell lysate. | |
Application Type Pep-ELISA, WB, IHC, IF, FC |
Goat Anti-AIRE Antibody
$431.00
| SKU | Unit Size | Price |
|---|---|---|
Select a unit size:
Documents |





