Formulation Supplied at 0.5 mg/ml in Tris saline, 0.02% sodium azide, pH7.3 with 0.5% bovine serum albumin.
| |
Unit Size 100 µg | |
Storage Instructions Aliquot and store at -20°C. Minimize freezing and thawing. | |
Synonym / Alias Names ALDH9A1|TMABADH|R-aminobutyraldehyde dehydrogenase|E3|ALDH9|ALDH7|ALDH4|aldehyde dehydrogenase E3 is|aldehyde dehydrogenase 9A1|aldehyde dehydrogenase 9 family, member A1|aldehyde dehydrogenase (NAD+)|4-trimethylaminobutyraldehyde dehydrogenase | |
Accession ID NP_000687.3 | |
Blocking Peptide EBP10130 | |
Immunogen Peptide with sequence C-QKEILDKFTEEVVKQ, from the internal region of the protein sequence according to NP_000687.3. | |
Peptide Sequence C-QKEILDKFTEEVVKQ | |
Purification Method Purified from goat serum by ammonium sulphate precipitation followed by antigen affinity chromatography using the immunizing peptide. | |
Shipping Instructions Refrigerated | |
Predicted Species Human, Cow | |
Reactive Species Human | |
Human Gene ID 223 | |
Product Grade ![]() | |
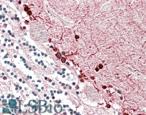
IHC Results In paraffin embeddedHuman Cerebellum shows staining of a few cells between the Granular Cell layer and the Molecular Layer of the Cerebellum. Please note the unstained Purkinje cell at 10 O'clock. Recommended concentration, 3-5µg/ml. | |
ELISA Detection Limit Antibody detection limit dilution 1:16000. | |
Western Blot Approx 50kDa band observed in Human Kidney and Liver lysates (calculated MW of 56.3kDa according to NP_000687.3). Recommended concentration: 0.3-1µg/ml. | |
Application Type Pep-ELISA, WB, IHC |
Goat Anti-ALDH9A1 Antibody
$431.00
| SKU | Unit Size | Price |
|---|---|---|
Select a unit size:
Documents |


