Formulation Supplied at 0.5 mg/ml in Tris saline, 0.02% sodium azide, pH7.3 with 0.5% bovine serum albumin.
| |
Unit Size 100 µg | |
Storage Instructions Aliquot and store at -20°C. Minimize freezing and thawing. | |
Synonym / Alias Names ankyrin-3, node of Ranvier|ankyrin G119|ankyrin 3|FLJ45464|ANKYRIN-G|RP11-369L1.1|ankyrin 3, node of Ranvier (ankyrin G)|ANK3 | |
Accession ID NP_066267.2; NP_001140.2 | |
Blocking Peptide EBP08631 | |
Immunogen Peptide with sequence C-SWQNETSSGNLE, from the internal region of the protein sequence according to NP_066267.2; NP_001140.2. | |
Product Comments This antibody is expected to recognise both reported isoforms (NP_001140.2; NP_066267.2) | |
Peptide Sequence C-SWQNETSSGNLE | |
Purification Method Purified from goat serum by ammonium sulphate precipitation followed by antigen affinity chromatography using the immunizing peptide. | |
Shipping Instructions Refrigerated | |
Predicted Species Human, Mouse, Rat, Cow | |
Reactive Species Human | |
Human Gene ID 288 | |
Product Grade ![]() | |
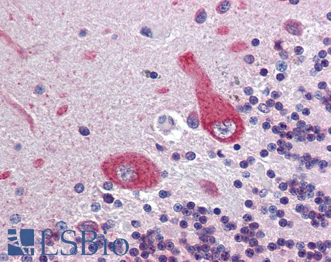
IHC Results Paraffin embedded Prostate and Human Brain (Cerebellum). Recommended concentration: 3.75µg/ml.
Cryosection of immersion-fixed (1% PFA/0.5% methanol) Human Hypothalamus. Optimal dilution: 1:5000. *Vibratome prepared sample for optimal labelling. | |
ELISA Detection Limit Antibody detection limit dilution 1:16000. | |
Application Type Pep-ELISA, IHC |
Goat Anti-Ankyrin G Antibody
$431.00
| SKU | Unit Size | Price |
|---|---|---|
Select a unit size:
Documents |



