Formulation Supplied at 0.5 mg/ml in Tris saline, 0.02% sodium azide, pH7.3 with 0.5% bovine serum albumin.
| |
Unit Size 100 µg | |
Storage Instructions Aliquot and store at -20°C. Minimize freezing and thawing. | |
Synonym / Alias Names apoA-I|apo-AI|apolipoprotein A-I|APOA1 | |
Accession ID NP_000030.1 | |
Blocking Peptide EBP11963 | |
Immunogen Peptide with sequence C-DSVTSTFSKLREQ, from the internal region of the protein sequence according to NP_000030.1. | |
Peptide Sequence C-DSVTSTFSKLREQ | |
Purification Method Purified from goat serum by ammonium sulphate precipitation followed by antigen affinity chromatography using the immunizing peptide. | |
Shipping Instructions Refrigerated | |
Predicted Species Human | |
Reactive Species Human | |
Human Gene ID 335 | |
Product Grade ![]() | |
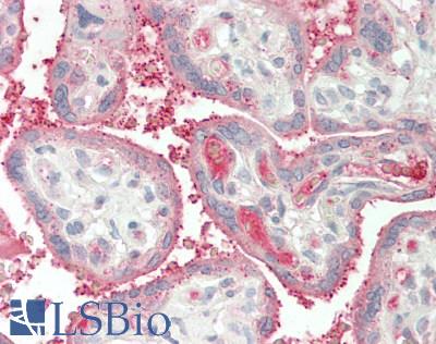
IHC Results Paraffin embedded Human Kidney and Placenta. Recommended concentration: 5µg/ml. | |
ELISA Detection Limit Antibody detection limit dilution 1:4000. | |
Western Blot Approx 28kDa band observed in Human Liver lysates (calculated MW of 30.8kDa according to NP_000030.1). Recommended concentration: 0.5-2µg/ml. Primary incubation was 1 hour. | |
Application Type Pep-ELISA, WB, IHC |
Goat Anti-APOA1 Antibody
$431.00
| SKU | Unit Size | Price |
|---|---|---|
Select a unit size:
Documents |



