Formulation Supplied at 0.5 mg/ml in Tris saline, 0.02% sodium azide, pH7.3 with 0.5% bovine serum albumin.
| |
Unit Size 100 µg | |
Storage Instructions Aliquot and store at -20°C. Minimize freezing and thawing. | |
Synonym / Alias Names OTTHUMP00000213211|OTTHUMP00000213142|OTTHUMP00000213140|ARF4|ARF2|ADP-ribosylation factor 4|ADP-ribosylation factor 2 | |
Accession ID NP_001651.1 | |
Blocking Peptide EBP11622 | |
Immunogen Peptide with sequence C-SEMTDKLGLQSLRN, from the internal region of the protein sequence according to NP_001651.1. | |
Peptide Sequence C-SEMTDKLGLQSLRN | |
Purification Method Purified from goat serum by ammonium sulphate precipitation followed by antigen affinity chromatography using the immunizing peptide. | |
Shipping Instructions Refrigerated | |
Predicted Species Human, Mouse, Rat, Pig, Cow | |
Reactive Species Human, Mouse | |
Human Gene ID 378 | |
Mouse Gene ID 11843 | |
Rat Gene ID 79120 | |
Product Grade ![]() | |
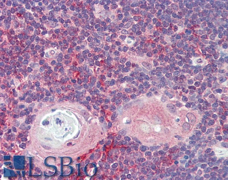
IHC Results Paraffin embedded Human Thymus. Recommended concentration: 5µg/ml. | |
ELISA Detection Limit Antibody detection limit dilution 1:128000. | |
Western Blot Approx 19kDa band observed in lysates of cell lines NIH3T3 and HeLa (calculated MW of 20.5kDa according to Human NP_001651.1 and 20.4kDa according to Mouse NP_031505.1 ). Recommended concentration: 0.3-1µg/ml. Primary incubation 1 hour at room temperature. | |
Application Type Pep-ELISA, WB, IHC |
Goat Anti-ARF4 (aa137-150) Antibody
$431.00
| SKU | Unit Size | Price |
|---|---|---|
Select a unit size:
Documents |


