Formulation Supplied at 0.5 mg/ml in Tris saline, 0.02% sodium azide, pH7.3 with 0.5% bovine serum albumin.
| |
Unit Size 100 µg | |
Storage Instructions Aliquot and store at -20°C. Minimize freezing and thawing. | |
Synonym / Alias Names citrulline-aspartate ligase|argininosuccinate synthetase 1|citrulline--aspartate ligase|CTLN1|ASS1|ASS|Argininosuccinate synthetase 1 | |
Usage Summary Immunofluorescence: Strong expression of the protein seen in the cytoplasm of HeLa cells. Recommended concentration: 10µg/ml.
Flow Cytometry: Flow cytometric analysis of A431 cells. Recommended concentration: 10ug/ml. | |
Accession ID NP_000041.2; NP_446464.1 | |
Blocking Peptide EBP07697 | |
Immunogen Peptide with sequence C-ENPKNQAPPGLYTKTQD, from the internal region of the protein sequence according to NP_000041.2; NP_446464.1. | |
Product Comments The variants represent identical protein (NP_000041.2 and NP_446464.1). | |
Peptide Sequence C-ENPKNQAPPGLYTKTQD | |
Purification Method Purified from goat serum by ammonium sulphate precipitation followed by antigen affinity chromatography using the immunizing peptide. | |
Shipping Instructions Refrigerated | |
Predicted Species Human, Mouse, Rat, Dog, Cow | |
Reactive Species Human, Mouse, Rat | |
Human Gene ID 445 | |
Mouse Gene ID 11898 | |
Rat Gene ID 25698 | |
Product Grade ![]() | |
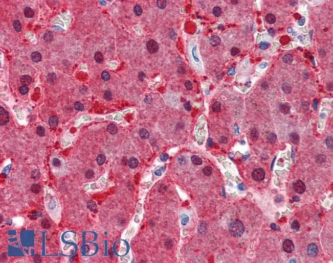
IHC Results In paraffin embedded Human Kidney shows textured cytoplasm staining in PCT. Recommended concentration: 2-4µg/ml. Paraffin embedded Human Liver. Recommended concentration: 2.5µg/ml. | |
ELISA Detection Limit Antibody detection limit dilution 1:64000. | |
Western Blot Approx 45kDa band observed in lysates of cell lines A431 and NIH3T3 and approx.48kDa in Human and Rat Kidney and in Mouse Liver lysates (calculated MW of 46.5kDa according to Human NP_000041.2 and Rat NP_037289.1, and 46.6kDa according to Mouse NP_031520.1 ). Recommended concentration: 0.03-1µg/ml. Primary incubation 1 hour at room temperature. | |
Application Type Pep-ELISA, WB, IF, FC, IHC |
Goat Anti-Argininosuccinate synthetase 1 Antibody
$431.00
| SKU | Unit Size | Price |
|---|---|---|
Select a unit size:
Selected References [{"pmid": 18948083, "intro": "This antibody has been successfully used in WB and IP on Cow:", "title": "Phosphorylation of argininosuccinate synthase by protein kinase A.", "author": "Corbin KD, Pendleton LC, Solomonson LP, Eichler DC.", "journal": "Biochem Biophys Res Commun. 2008 Dec 26;377(4):1042-6."}] |
Documents |






