Formulation Supplied at 0.5 mg/ml in Tris saline, 0.02% sodium azide, pH7.3 with 0.5% bovine serum albumin.
| |
Unit Size 100 µg | |
Storage Instructions Aliquot and store at -20°C. Minimize freezing and thawing. | |
Synonym / Alias Names ARP1 actin-related protein 1 homolog B, centractin beta|ARP1 (actin-related protein 1, yeast) homolog B (centractin beta)|ARP1, yeast homolog B|centractin beta|PC3|ARP1 actin-related protein 1 homolog B, centractin beta (yeast)|CTRN2|ARP1B|ACTR1B | |
Accession ID NP_005726.1 | |
Blocking Peptide EBP06350 | |
Immunogen Peptide with sequence C-YEEDGSRAIHRKT, from the C Terminus of the protein sequence according to NP_005726.1. | |
Product Comments This epitope was selected to minimise the chance of cross-reactivity with ACTR1A (YEEDGARSIHRKT). | |
Peptide Sequence C-YEEDGSRAIHRKT | |
Purification Method Purified from goat serum by ammonium sulphate precipitation followed by antigen affinity chromatography using the immunizing peptide. | |
Shipping Instructions Refrigerated | |
Predicted Species Human, Mouse, Rat, Dog, Cow | |
Reactive Species Human | |
Human Gene ID 10120 | |
Mouse Gene ID 226977 | |
Product Grade ![]() | |
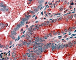
IHC Results In paraffin embedded Human Uterus shows fibrillar staining of cytoplasm in endometrial cells. Recommended concentration, 3-5µg/ml. | |
ELISA Detection Limit Antibody detection limit dilution 1:128000. | |
Western Blot Approx 45kDa band observed in Human Heart and Brain lysates (predicted MW of 42.3kDa according to NP_005726.1). Recommended for use at 0.5-2µg/ml. | |
Application Type Pep-ELISA, WB, IHC |
Goat Anti-ARP1 homolog B Antibody
$431.00
| SKU | Unit Size | Price |
|---|---|---|
Select a unit size:
Documents |


