Formulation Supplied at 0.5 mg/ml in Tris saline, 0.02% sodium azide, pH7.3 with 0.5% bovine serum albumin.
| |
Unit Size 100 µg | |
Storage Instructions Aliquot and store at -20°C. Minimize freezing and thawing. | |
Synonym / Alias Names brain sodium channel 2|amiloride-sensitive cation channel 2, neuronal|acid-sensing ion channel 1a protein|acid-sensing ion channel 1|Cation channel, amiloride-sensitive, neuronal, 2|BNaC2|ASIC|ACCN2|acid-sensing (proton-gated) ion channel 1|ASIC1 | |
Accession ID NP_064423.2; NP_001086.2; NP_001243759.1 | |
Blocking Peptide EBP12627 | |
Immunogen Peptide with sequence C-NILPHHPARGT, from the C Terminus of the protein sequence according to NP_064423.2; NP_001086.2; NP_001243759.1. | |
Product Comments This antibody is expected to recognize all reported isoforms (NP_064423.2; NP_001086.2; NP_001243759.1). | |
Peptide Sequence C-NILPHHPARGT | |
Purification Method Purified from goat serum by ammonium sulphate precipitation followed by antigen affinity chromatography using the immunizing peptide. | |
Shipping Instructions Refrigerated | |
Predicted Species Human, Mouse, Rat, Dog, Pig, Cow | |
Reactive Species Human, Mouse | |
Human Gene ID 41 | |
Mouse Gene ID 11419 | |
Rat Gene ID 79123 | |
Product Grade ![]() | |
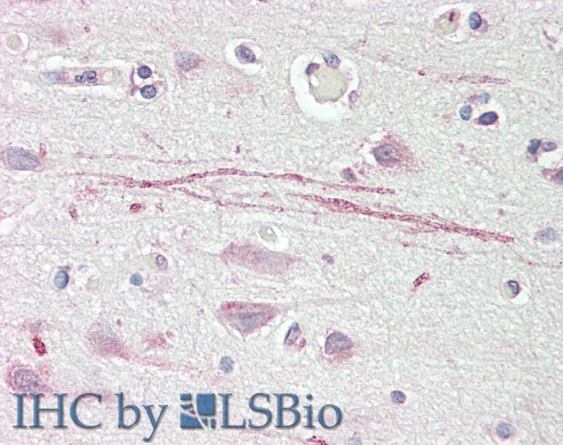
IHC Results Paraffin embedded Human Brain (Cortex) and Pancreas. Recommended concentration: 5µg/ml. | |
ELISA Detection Limit Antibody detection limit dilution 1:128000. | |
Western Blot Approx 70kDa band observed in Mouse fetal Brain lysates (calculated MW of 64.8kDa according to NP_064423.2). Recommended concentration: 0.3-1µg/ml. Primary incubation was 1 hour. | |
Application Type Pep-ELISA, WB, IHC |
Goat Anti-ASIC1 Antibody
$431.00
| SKU | Unit Size | Price |
|---|---|---|
Select a unit size:
Documents |



