Formulation Supplied at 0.5 mg/ml in Tris saline, 0.02% sodium azide, pH7.3 with 0.5% bovine serum albumin.
| |
Unit Size 100 µg | |
Storage Instructions Aliquot and store at -20°C. Minimize freezing and thawing. | |
Synonym / Alias Names SMARCE1|BAF57|SWI/SNF related, matrix associated, actin dependent regulator of chromatin, subfamily e, member 1|mammalian chromatin remodeling complex BRG1-associated factor 57|BAF57|SWI/SNF-related matrix-associated actin-dependent regulator of chromatin e1 | |
Accession ID NP_003070.3 | |
Blocking Peptide EBP06054 | |
Immunogen Peptide with sequence C-PPTDPIPEDEKKE, from the C Terminus of the protein sequence according to NP_003070.3. | |
Peptide Sequence C-PPTDPIPEDEKKE | |
Purification Method Purified from goat serum by ammonium sulphate precipitation followed by antigen affinity chromatography using the immunizing peptide. | |
Shipping Instructions Refrigerated | |
Predicted Species Human, Mouse | |
Reactive Species Human | |
Human Gene ID 6605 | |
Mouse Gene ID 57376 | |
Product Grade ![]() | |
IHC Results In paraffin embedded Human Prostate shows nuclear staining in secretory epithelial cells. Recommended concentration, 3-5µg/ml. | |
ELISA Detection Limit Antibody detection limit dilution 1:16000. | |
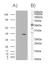
Western Blot Approx 50kDa band observed in lysates of cell lines HEPG2, HeLa and Jurkat (calculated MW of 46.6kDa according to NP_003070.3). A 48kDa band was observed in transfected HEK293 transiently expressing BAF57. This band is not observed in the non-transfected HEK293. Recommended concentration: 0.2-0.6 µg/ml.
Full caption:
A) HEK293 overexpressing BAF57 (RC209444) and probed with EB06054 (mock transfection in first lane), tested by Origene.
B) EB06054 staining (0.2µg/ml) of Jurkat lysate (RIPA buffer, 35µg total protein per lane). Primary incubated for 1 hour. Detected by western blot using chemiluminescence. | |
Application Type Pep-ELISA, WB, IHC |
Goat Anti-BAF57 / SMARCE1 Antibody
$431.00
| SKU | Unit Size | Price |
|---|---|---|
Select a unit size:
Documents |


