Formulation Supplied at 0.5 mg/ml in Tris saline, 0.02% sodium azide, pH7.3 with 0.5% bovine serum albumin.
| |
Unit Size 100 µg | |
Storage Instructions Aliquot and store at -20°C. Minimize freezing and thawing. | |
Synonym / Alias Names Bod1L|biorientation of chromosomes in cell division 1-like|FAM44A|KIAA1327|family with sequence similarity 44, member A | |
Accession ID NP_683692.2 | |
Blocking Peptide EBP11986 | |
Immunogen Peptide with sequence CPETEPHDTKEENS, from the internal region (near C Terminus) of the protein sequence according to NP_683692.2. | |
Peptide Sequence CPETEPHDTKEENS | |
Purification Method Purified from goat serum by ammonium sulphate precipitation followed by antigen affinity chromatography using the immunizing peptide. | |
Shipping Instructions Refrigerated | |
Predicted Species Human, Mouse | |
Reactive Species Human | |
Human Gene ID 259282 | |
Mouse Gene ID 665775 | |
Product Grade ![]() | |
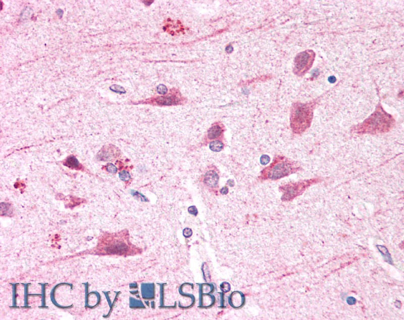
IHC Results Paraffin embedded Human Brain (Cortex) and Skin. Recommended concentration: 5µg/ml. | |
ELISA Detection Limit Antibody detection limit dilution 1:4000. | |
Application Type Pep-ELISA, IHC |
Goat Anti-BOD1L (aa2802-2815) Antibody
$431.00
| SKU | Unit Size | Price |
|---|---|---|
Select a unit size:
Documents |


