Formulation Supplied at 0.5 mg/ml in Tris saline, 0.02% sodium azide, pH7.3 with 0.5% bovine serum albumin.
| |
Unit Size 100 µg | |
Storage Instructions Aliquot and store at -20°C. Minimize freezing and thawing. | |
Synonym / Alias Names pIkappaBalpha-E3 receptor subunit| beta-TrCP1| OTTHUMP00000020315| OTTHUMP00000020314| F-box/WD repeat-containing protein 1A| F-box and WD-repeat protein 1B| F-box and WD repeats protein beta-TrCP| E3RSIkappaB| betaTrCP| bTrCP1| bTrCP| MGC4643| FWD1| FBXW1A| FBXW1| FBW1A| BETA-TRCP| RP11-529I10.2| beta-transducin repeat containing|BTRC | |
Accession ID NP_378663.1; NP_003930.1; NP_001243785.1 | |
Blocking Peptide EBP06199 | |
Immunogen Peptide with sequence DPAEAVLQEKALK-C, from the N Terminus of the protein sequence according to NP_378663.1; NP_003930.1; NP_001243785.1. | |
Product Comments This antibody is expected to recognise both reported isoforms (NP_378663.1; NP_003930.1). | |
Peptide Sequence DPAEAVLQEKALK-C | |
Purification Method Purified from goat serum by ammonium sulphate precipitation followed by antigen affinity chromatography using the immunizing peptide. | |
Shipping Instructions Refrigerated | |
Predicted Species Human, Mouse, Rat, Pig, Cow | |
Reactive Species Human | |
Human Gene ID 8945 | |
Mouse Gene ID 12234 | |
Rat Gene ID 361765 | |
Product Grade ![]() | |
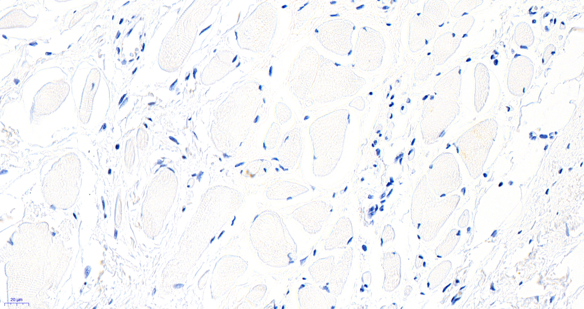
IHC Results Paraffin embedded Human Heart. Recommended concentration: 7.5µg/ml. | |
ELISA Detection Limit Antibody detection limit dilution 1:128000. | |
Western Blot Approx 65kDa band observed in nuclear lysates of cell line HeLa (calculated MW of 65kDa according to NP_003930.1 and 68.5kDa according to NP_001243785.1. Recommended concentration: 1-3µg/ml. Primary incubation was 1 hour. | |
Application Type Pep-ELISA, WB, IHC |
Goat Anti-BTRC / FWD1 Antibody
$431.00
| SKU | Unit Size | Price |
|---|---|---|
Select a unit size:
Documents |



