Formulation Supplied at 0.5 mg/ml in Tris saline, 0.02% sodium azide, pH7.3 with 0.5% bovine serum albumin.
| |
Unit Size 100 µg | |
Storage Instructions Aliquot and store at -20°C. Minimize freezing and thawing. | |
Synonym / Alias Names CADM4|cell adhesion molecule 4|IGSF4C|Necl-4|TSLL2|synCAM4|TSLC1-like 2|immunoglobulin superfamily, member 4C|nectin-like 4 | |
Accession ID NP_660339.1 | |
Blocking Peptide EBP08194 | |
Immunogen Peptide with sequence C-REAFLNGSDGHKRKE, from the C Terminus of the protein sequence according to NP_660339.1. | |
Peptide Sequence C-REAFLNGSDGHKRKE | |
Purification Method Purified from goat serum by ammonium sulphate precipitation followed by antigen affinity chromatography using the immunizing peptide. | |
Shipping Instructions Refrigerated | |
Predicted Species Human, Mouse, Rat, Dog | |
Reactive Species Human | |
Human Gene ID 199731 | |
Product Grade ![]() | |
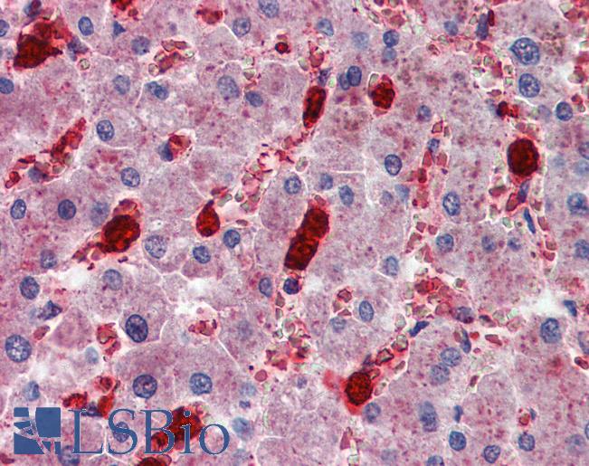
IHC Results Paraffin embedded Human Spleen and Liver. Recommended concentration: 2.5µg/ml. | |
ELISA Detection Limit Antibody detection limit dilution 1:32000. | |
Western Blot Approx 70kDa band observed in Human Brain (Cerebellum) lysates (calculated MW of 42.8kDa according to NP_660339.1). The observed molecular weight corresponds to findings with EB08040, a product of different design reacting to a different part of the same protein. Recommended concentration: 0.03-0.1µg/ml. Primary incubation was 1 hour. | |
Application Type Pep-ELISA, WB, IHC |
Goat Anti-CADM4 (C Terminus) Antibody
$431.00
| SKU | Unit Size | Price |
|---|---|---|
Select a unit size:
Documents |



