Formulation Supplied at 0.5 mg/ml in Tris saline, 0.02% sodium azide, pH7.3 with 0.5% bovine serum albumin.
| |
Unit Size 100 µg | |
Storage Instructions Aliquot and store at -20°C. Minimize freezing and thawing. | |
Synonym / Alias Names testis-dominant CNR2 isoform CB2|RP11-4M23.1|CNR2|OTTHUMP00000044841|CX5|CB2|CNR3|HGNC:2160|cannabinoid receptor 2 (macrophage) | |
Accession ID NP_001832.1 | |
Blocking Peptide EBP06946 | |
Immunogen Peptide with sequence C-TETEADGKITPWPD, from the C Terminus of the protein sequence according to NP_001832.1. | |
Peptide Sequence C-TETEADGKITPWPD | |
Purification Method Purified from goat serum by ammonium sulphate precipitation followed by antigen affinity chromatography using the immunizing peptide. | |
Shipping Instructions Refrigerated | |
Predicted Species Human | |
Reactive Species Human | |
Human Gene ID 1269 | |
Product Grade ![]() | |
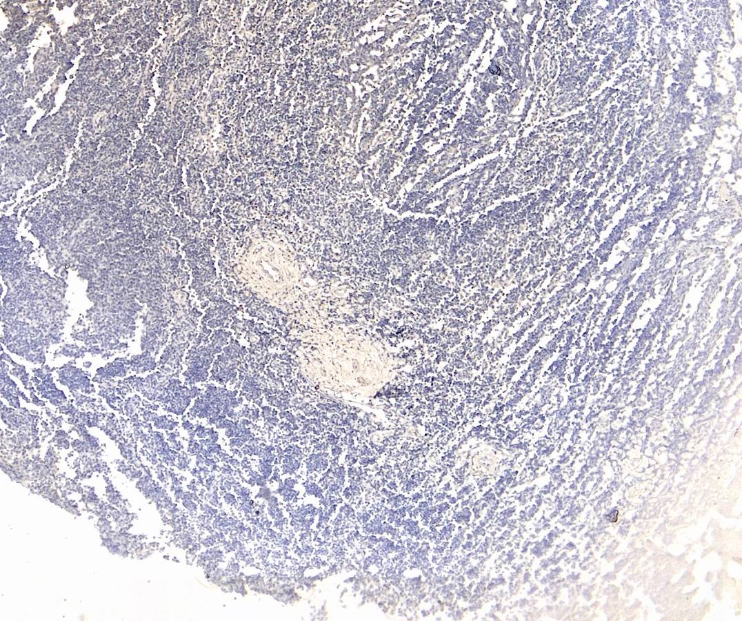
IHC Results Paraffin embedded Human Tonsil. Recommended concentration: 4µg/ml. | |
ELISA Detection Limit Antibody detection limit dilution 1:32000. | |
Western Blot Approx. 40-45kDa doublet band observed in Human Hippocampus lysates, approx. 48kDa in Human Cerebellum lysates, and approx. 50kDa in Human Duodenum lysates (calculated MW of 46.2kDa according to NP_001832.1). Recommended concentration: 1-3µg/ml. Primary incubation 1 hour at room temperature. | |
Application Type Pep-ELISA, WB, IHC |
Goat Anti-Cannabinoid Receptor 2 Antibody
$431.00
| SKU | Unit Size | Price |
|---|---|---|
Select a unit size:
Selected References [{"pmid": 25444073, "intro": "This antibody (previous batch) has been successfully used in Western blot on Human:", "title": "Increased placental expression of cannabinoid receptor 1 in preeclampsia: an observational study.", "author": "Fügedi G, Molnár M, Rigó J Jr, Schönléber J, Kovalszky I, Molvarec A.", "journal": "BMC Pregnancy Childbirth. 2014 Dec 2;14:395"}] |
Documents |



