Formulation Supplied at 0.5 mg/ml in Tris saline, 0.02% sodium azide, pH7.3 with 0.5% bovine serum albumin.
| |
Unit Size 100 µg | |
Storage Instructions Aliquot and store at -20°C. Minimize freezing and thawing. | |
Synonym / Alias Names PLS|PALS|OTTHUMP00000235627|OTTHUMP00000235625|OTTHUMP00000235624|OTTHUMP00000235623|JPD|JP|HMS|DPP-I|DPPI|DPP1|dipeptidyl-peptidase I|dipeptidyl transferase|dipeptidyl peptidase I|dipeptidyl peptidase 1|CTSC|CPPI|cathepsin J|cathepsin C | |
Accession ID NP_001805.3 | |
Blocking Peptide EBP11824 | |
Immunogen Peptide with sequence C-RNVHGINFVSPVRNQ, from the internal region of the protein sequence according to NP_001805.3. | |
Product Comments This antibody is expected to recognize isoform a (NP_001805.3) only. | |
Peptide Sequence C-RNVHGINFVSPVRNQ | |
Purification Method Purified from goat serum by ammonium sulphate precipitation followed by antigen affinity chromatography using the immunizing peptide. | |
Shipping Instructions Refrigerated | |
Predicted Species Human | |
Reactive Species Human | |
Human Gene ID 1075 | |
Product Grade ![]() | |
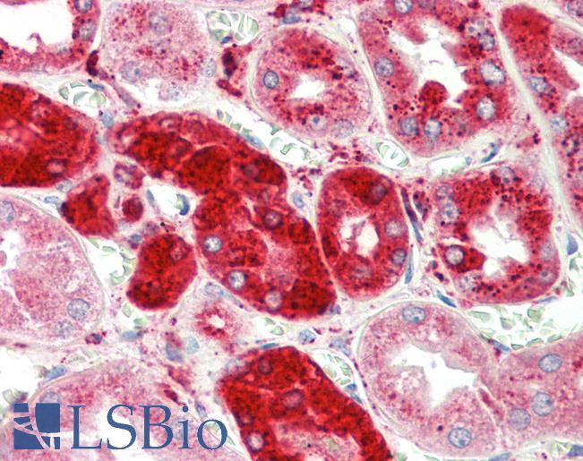
IHC Results Paraffin embedded Human Lung and Kidney. Recommended concentration: 5µg/ml. | |
ELISA Detection Limit Antibody detection limit dilution 1:128000. | |
Western Blot Approx 24kDa band observed in Human Neutrophils lysates (calculated MW of 51.8kDa according to NP_001805.3). This molecular weight is routinely observed by other sources. Recommended concentration: 1-3µg/ml. Primary incubation was 1 hour. | |
Application Type Pep-ELISA, WB, IHC |
Goat Anti-cathepsin C / DPP1 (aa238-252) Antibody
$431.00
| SKU | Unit Size | Price |
|---|---|---|
Select a unit size:
Selected References [{"pmid": 29925593, "intro": "This antibody has been successfully used in Western blot on Human:", "title": "Consequences of cathepsin C inactivation for membrane exposure of proteinase 3, the target antigen in autoimmune vasculitis.", "author": "Seren S et al", "journal": "J Biol Chem. 2018 Aug 10;293(32):12415-12428. "}, {"pmid": 26884336, "intro": "This antibody has been successfully used in WB on Macaque:", "title": "Neutrophilic cathepsin C is maturated by a multi-step proteolytic process and secreted by activated cells during inflammatory lung diseases.", "author": "Hamon Y et al", "journal": "J Biol Chem. 2016 Feb 16. pii: jbc.M115.707109"}, {"pmid": 26607765, "intro": "This antibody has been successfully used in Western blot on Human:", "title": "Analysis of urinary cathepsin C for diagnosing Papillon-Lefèvre syndrome.", "author": "Hamon Y et al", "journal": "FEBS J. 2016 Feb;283(3):498-509"}, {"pmid": 0, "intro": "This antibody has been successfully used in Western blot on Human:", "title": "Thérapeutique de la granulomatose avec polyangéite : nouvelle approche par inhibition de la cathepsine C des cellules CD34+", "author": "N’GUESSAN Koffi, SEREN Seda, DALLET-CHOISY Sandrine, MARCHAND-ADAM Sylvain, DASSE Sery Romualde, KORKMAZ Bric", "journal": "Rev int sc méd Abj -RISM-2019;21,1:32-38."}] |
Documents |



