Formulation Supplied at 0.5 mg/ml in Tris saline, 0.02% sodium azide, pH7.3 with 0.5% bovine serum albumin.
| |
Unit Size 100 µg | |
Storage Instructions Aliquot and store at -20°C. Minimize freezing and thawing. | |
Synonym / Alias Names heterochromatin-like protein 1|heterochromatin protein HP1 gamma|chromobox homolog 3 (Drosophila HP1 gamma)|chromobox homolog 3|HP1 gamma homolog|HP1Hs-gamma|HECH|HGNC:1553|chromobox homolog 3 (HP1 gamma homolog, Drosophila)|HP1-GAMMA|CBX3 | |
Usage Summary Immunofluorescence: Strong expression of the protein seen in HeLa and U2OS cells. Recommended concentration: 10µg/ml.
Flow Cytometry: Flow cytometric analysis of HeLa cells. Recommended concentration: 10ug/ml. | |
Accession ID NP_009207.2 | |
Blocking Peptide EBP06959 | |
Immunogen Peptide with sequence C-EAFLNSQKAGKEKD, from the internal region of the protein sequence according to NP_009207.2. | |
Product Comments No cross-reactivity expected with HP1-alpha and HP1-beta. Reported variants represent identical protein: NP_009207.2, NP_057671.2 | |
Peptide Sequence C-EAFLNSQKAGKEKD | |
Purification Method Purified from goat serum by ammonium sulphate precipitation followed by antigen affinity chromatography using the immunizing peptide. | |
Shipping Instructions Refrigerated | |
Predicted Species Human, Mouse, Rat, Cow, Dog | |
Reactive Species Human, Mouse | |
Human Gene ID 11335 | |
Mouse Gene ID 12417 | |
Rat Gene ID 297093 | |
Product Grade ![]() | |
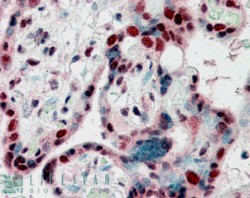
IHC Results In paraffin embedded Human Placenta shows strong nuclear staining in trophoblasts. Recommended concentration: 2-3µg/ml. | |
ELISA Detection Limit Antibody detection limit dilution 1:32000. | |
Western Blot Approx. 20kDa band observed in lysates of cell lines A431, HeLa, HepG2, NIH3T3 and NSO (calculated MW of 20.8kDa according to NP_009207.2 and NP_057671.2). Recommended concentration: 0.3-1.0 µg/ml. | |
Application Type Pep-ELISA, WB, IHC, IF, FC |
Goat Anti-CBX3 / HP1 Gamma Antibody
$431.00
| SKU | Unit Size | Price |
|---|---|---|
Select a unit size:
Selected References [{"pmid": 23545254, "intro": "This antibody has been successfully used in Western blot on Mouse:", "title": "Knockdown of HMGA1 inhibits human breast cancer cell growth\r\nand metastasis in immunodeficient mice", "author": "Francescopaolo Di Cello, James Shin, Kirsten Harbom, Cory Brayton", "journal": "Biochem Biophys Res Commun. 2013 Apr 26;434(1):70-4."}] |
Documents |






