Formulation Supplied at 0.5 mg/ml in Tris saline, 0.02% sodium azide, pH7.3 with 0.5% bovine serum albumin.
| |
Unit Size 100 µg | |
Storage Instructions Aliquot and store at -20°C. Minimize freezing and thawing. | |
Synonym / Alias Names CDC42 binding protein kinase beta|DKFZp686L1738|Ser-Thr protein kinase related to the myotonic dystrophy protein kinase|myotonic dystrophy kinase-related CDC42-binding protein kinase alpha|ser-thr protein kinase PK428|CDC42 binding protein kinase alpha (DMPK-like)|KIAA0451|FLJ23347|PK428|MRCKA|MRCK|CDC42BPA | |
Accession ID NP_055641.3; NP_003598.2 | |
Blocking Peptide EBP06363 | |
Immunogen Peptide with sequence SGEVRLRQLEQFI-C, from the N Terminus of the protein sequence according to NP_055641.3; NP_003598.2. | |
Product Comments This antibody is expected to recognise both reported Human isoforms (NP_055641.3 and NP_003598.2). | |
Peptide Sequence SGEVRLRQLEQFI-C | |
Purification Method Purified from goat serum by ammonium sulphate precipitation followed by antigen affinity chromatography using the immunizing peptide. | |
Shipping Instructions Refrigerated | |
Predicted Species Human, Mouse, Rat, Dog, Cow | |
Reactive Species Human | |
Human Gene ID 8476 | |
Mouse Gene ID 226751 | |
Rat Gene ID 114116 | |
Product Grade ![]() | |
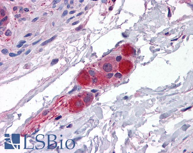
IHC Results Paraffin embedded Human Brain (Cerebellum) and Small Intestine (submucosal plexus). Recommended concentration: 3.75µg/ml. | |
ELISA Detection Limit Antibody detection limit dilution 1:16000. | |
Application Type Pep-ELISA, IHC |
Goat Anti-Cdc42-binding kinase alpha Antibody
$423.00
| SKU | Unit Size | Price |
|---|---|---|
Select a unit size:
Documents |


