Formulation Supplied at 0.5 mg/ml in Tris saline, 0.02% sodium azide, pH7.3 with 0.5% bovine serum albumin.
| |
Unit Size 100 µg | |
Storage Instructions Aliquot and store at -20°C. Minimize freezing and thawing. | |
Synonym / Alias Names phosphoinositide 3-kinase enhancer|centaurin gamma1|GTP-binding and GTPase activating protein 2|Arf GAP with GTP-binding protein-like, ANK repeat and PH domains 2|PIKE|KIAA0167|GGAP2|FLJ16430|AGAP2|centaurin, gamma 1|CENTG1 | |
Accession ID NP_055585.1 | |
Blocking Peptide EBP09314 | |
Immunogen Peptide with sequence C-QASLDSIREAVINSQ, from the internal region of the protein sequence according to NP_055585.1. | |
Product Comments This antibody is expected to recognize isoform PIKE-S (NP_055585.1). | |
Peptide Sequence C-QASLDSIREAVINSQ | |
Purification Method Purified from goat serum by ammonium sulphate precipitation followed by antigen affinity chromatography using the immunizing peptide. | |
Shipping Instructions Refrigerated | |
Predicted Species Human | |
Reactive Species Human | |
Human Gene ID 116986 | |
Product Grade ![]() | |
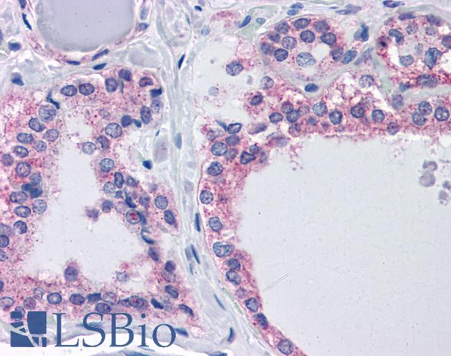
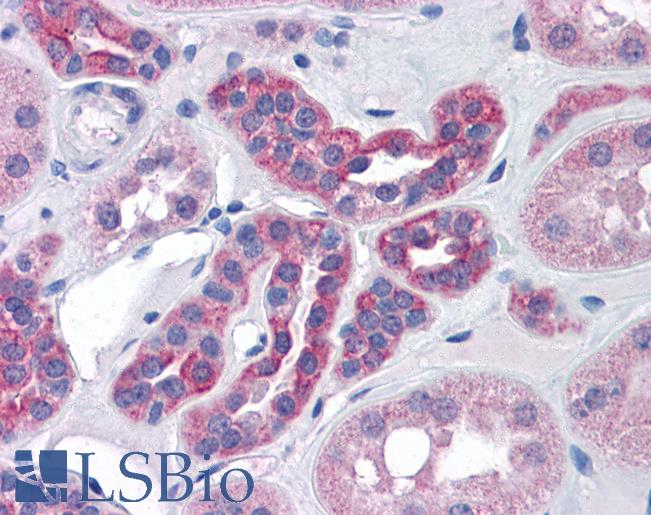
IHC Results Paraffin embedded Human Thyroid and Kidney. Recommended concentration: 3.75µg/ml. | |
ELISA Detection Limit Antibody detection limit dilution 1:8000. | |
Western Blot Approx 100kDa band observed in Human Brain (Amygdala and Cerebral Cortex) lysates (calculated MW of 90.5kDa according to NP_055585.1). Recommended concentration: 0.3-1µg/ml. Primary incubation was 1 hour. | |
Application Type Pep-ELISA, WB, IHC |
Goat Anti-CENTG1 / PIKE Antibody
$431.00
| SKU | Unit Size | Price |
|---|---|---|
Select a unit size:
Documents |



