Formulation Supplied at 0.5 mg/ml in Tris saline, 0.02% sodium azide, pH7.3 with 0.5% bovine serum albumin.
| |
Unit Size 100 µg | |
Storage Instructions Aliquot and store at -20°C. Minimize freezing and thawing. | |
Synonym / Alias Names coiled-coil-helix-coiled-coil-helix domain containing 3|FLJ20420|CHCHD3 | |
Accession ID NP_060282.1 | |
Blocking Peptide EBP09839 | |
Immunogen Peptide with sequence KFKRYESHPVCAD, from the internal region of the protein sequence according to NP_060282.1. | |
Peptide Sequence KFKRYESHPVCAD | |
Purification Method Purified from goat serum by ammonium sulphate precipitation followed by antigen affinity chromatography using the immunizing peptide. | |
Shipping Instructions Refrigerated | |
Predicted Species Human, Mouse, Rat, Dog, Cow, Sheep | |
Reactive Species Human | |
Human Gene ID 54927 | |
Rat Gene ID 296966 | |
Product Grade ![]() | |
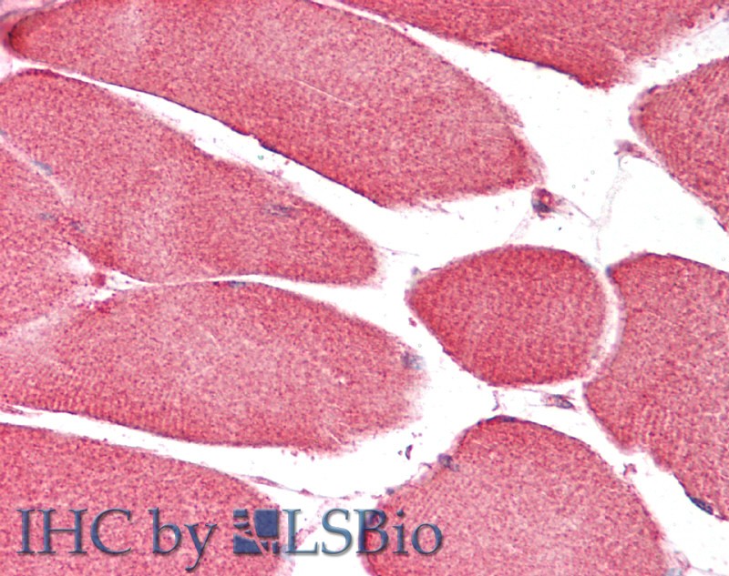
IHC Results Paraffin embedded Human Heart and Skeletal Muscle. Recommended concentration: 5µg/ml. | |
ELISA Detection Limit Antibody detection limit dilution 1:16000. | |
Western Blot Approx 26kDa band observed in Human Brain (Cerebellum) and Heart lysates (calculated MW of 26.2kDa according to NP_060282.1). Recommended concentration: 1-3µg/ml. A customer found ~30kDa in THP1 and in Human primary monocyte derived dendritic cells. | |
Application Type Pep-ELISA, WB, IHC |
Goat Anti-CHCHD3 Antibody
$431.00
| SKU | Unit Size | Price |
|---|---|---|
Select a unit size:
Selected References [{"pmid": 28057766, "intro": "This antibody has been successfully used in IF on Human:", "title": "Rapid degradation of mutant SLC25A46 by the ubiquitin-proteasome system results in MFN1/2 mediated hyperfusion of mitochondria.", "author": "Steffen J, Vashisht AA, Wan J, Jen JC, Claypool SM, Wohlschlegel J, Koehler CM.", "journal": "Mol Biol Cell. 2017 Jan 5."}] |
Documents |



