Formulation Supplied at 0.5 mg/ml in Tris saline, 0.02% sodium azide, pH7.3 with 0.5% bovine serum albumin.
| |
Unit Size 100 µg | |
Storage Instructions Aliquot and store at -20°C. Minimize freezing and thawing. | |
Synonym / Alias Names clathrin, heavy polypeptide-like 2|clathrin, heavy polypeptide (Hc)|clathrin heavy chain 1|KIAA0034|Hc|CLTCL2|CLH-17|CHC17|clathrin, heavy chain (Hc)|CLTC | |
Usage Summary Immunofluorescence:: This antibody has been successfully used in IF on Human: Marinval N et al. (2016) PMID: 27763505. | |
Accession ID NP_004850.1; NP_001275582.1 | |
Blocking Peptide EBP09305 | |
Immunogen Peptide with sequence C-ESLRKEEEQATETQ, from the internal region (near C Terminus) of the protein sequence according to NP_004850.1; NP_001275582.1. | |
Peptide Sequence C-ESLRKEEEQATETQ | |
Purification Method Purified from goat serum by ammonium sulphate precipitation followed by antigen affinity chromatography using the immunizing peptide. | |
Shipping Instructions Refrigerated | |
Predicted Species Human, Mouse, Rat, Dog, Cow | |
Reactive Species Human | |
Human Gene ID 1213 | |
Product Grade ![]() | |
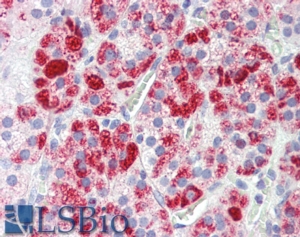
IHC Results In paraffin embedded Human Adrenal Gland shows strong vesicular staining in the zona glomerulosa. Paraffin embedded Human Kidney. Recommended concentration: 3.75µg/ml. | |
ELISA Detection Limit Antibody detection limit dilution 1:32000. | |
Application Type Pep-ELISA, IHC, IF |
Goat Anti-CLTC Antibody
$431.00
| SKU | Unit Size | Price |
|---|---|---|
Select a unit size:
Selected References [{"pmid": 27763505, "intro": "This antibody has been successfully used in IF on Human:", "title": "Identification of a Pro-Angiogenic Potential and Cellular Uptake Mechanism of a LMW Highly SulfatedFraction of Fucoidan from Ascophyllum nodosum", "author": "Marinval N, Saboural P, Haddad O, Maire M, Bassand K, Geinguenaud F, Djaker N, Ben Akrout K, Lamy de la Chapelle M, Robert R, Oudar O, Guyot E, Laguillier-Morizot C, Sutton A, Chauvierre C, Chaubet F, Charnaux N, Hlawaty H", "journal": "Mar Drugs. 2016 Oct 17;14(10)"}] |
Documents |


