Formulation Supplied at 0.5 mg/ml in Tris saline, 0.02% sodium azide, pH7.3 with 0.5% bovine serum albumin.
| |
Unit Size 100 µg | |
Storage Instructions Aliquot and store at -20°C. Minimize freezing and thawing. | |
Synonym / Alias Names mast cell protease I|chymase, mast cell|chymase, heart|chymase 1 preproprotein transcript I|chymase 1 preproprotein transcript E|MGC119891|MGC119890|MCT1|CYH|chymase 1, mast cell|CMA1 | |
Accession ID NP_001827.1 | |
Blocking Peptide EBP08876 | |
Immunogen Peptide with sequence C-QFRHPKYNTSTLHHD, from the internal region of the protein sequence according to NP_001827.1. | |
Peptide Sequence C-QFRHPKYNTSTLHHD | |
Purification Method Purified from goat serum by ammonium sulphate precipitation followed by antigen affinity chromatography using the immunizing peptide. | |
Shipping Instructions Refrigerated | |
Predicted Species Human | |
Reactive Species Human | |
Human Gene ID 1215 | |
Product Grade ![]() | |
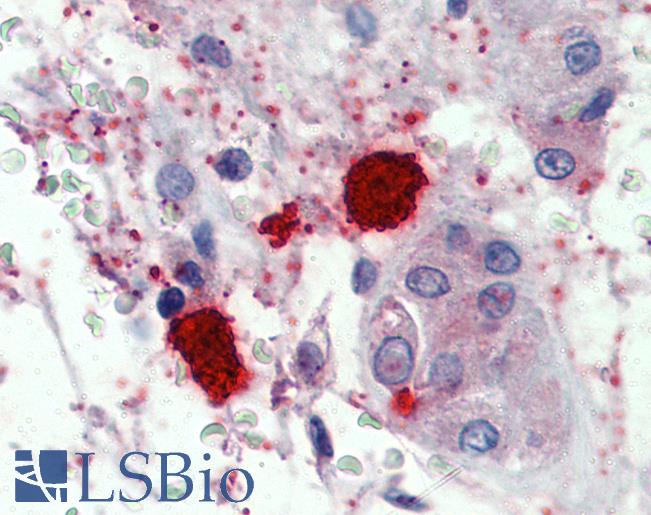
IHC Results Paraffin embedded Human Testis and Tonsil (Mast cells). Recommended concentration: 1.5µg/ml. | |
ELISA Detection Limit Antibody detection limit dilution 1:128000. | |
Western Blot In transfected HEK293 transiently expressing full-length Human CMA1 (myc and DYKDDDDK tagged), a band of approx. 35kDa was observed. No bands were observed in mock-transfected HEK293 and the same band was observed using anti-DYKDDDDK tag antibody. Recommended concentration, 0.5-1µg/ml. | |
Application Type Pep-ELISA, WB-Trf, IHC |
Goat Anti-CMA1 Antibody
$431.00
| SKU | Unit Size | Price |
|---|---|---|
Select a unit size:
Documents |



