Formulation Supplied at 0.5 mg/ml in Tris saline, 0.02% sodium azide, pH7.3 with 0.5% bovine serum albumin.
| |
Unit Size 100 µg | |
Storage Instructions Aliquot and store at -20°C. Minimize freezing and thawing. | |
Synonym / Alias Names cofilin 2|NEM7|CFL2|HGNC:1875|cofilin 2 (muscle) | |
Accession ID NP_068733.1; NP_619579.1 | |
Blocking Peptide EBP06889 | |
Immunogen Peptide with sequence C-DIKDRSTLGEK, from the C Terminus of the protein sequence according to NP_068733.1; NP_619579.1. | |
Product Comments This antibody is expected to recognise both reported isoforms (NP_068733 and NP_619579) | |
Peptide Sequence C-DIKDRSTLGEK | |
Purification Method Purified from goat serum by ammonium sulphate precipitation followed by antigen affinity chromatography using the immunizing peptide. | |
Shipping Instructions Refrigerated | |
Predicted Species Human, Mouse, Rat, Dog, Pig | |
Reactive Species Human, Rat | |
Human Gene ID 1073 | |
Product Grade ![]() | |
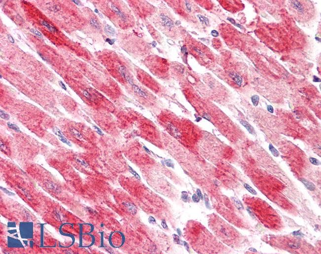
IHC Results Paraffin embedded Human Heart. Recommended concentration: 3.75µg/ml. | |
ELISA Detection Limit Antibody detection limit dilution 1:128000. | |
Western Blot Approx 18kDa band observed in Human Skeletal Muscle lysates and in Rat Heart lysates (calculated MW of 18.7kDa according to NP_068733.1and NP_619579.1). Recommended concentration: 0.01-0.03µg/ml. | |
Application Type Pep-ELISA, WB, IHC |
Goat Anti-Cofilin 2 (muscle) Antibody
$431.00
| SKU | Unit Size | Price |
|---|---|---|
Select a unit size:
Documents |




