Formulation Supplied at 0.5 mg/ml in Tris saline, 0.02% sodium azide, pH7.3 with 0.5% bovine serum albumin.
| |
Unit Size 100 µg | |
Storage Instructions Aliquot and store at -20°C. Minimize freezing and thawing. | |
Synonym / Alias Names OTTHUMP00000197086|CPAMD1|complement component C3|complement component 3|complement C3|C3 and PZP-like alpha-2-macroglobulin domain-containing protein 1|C3|ASP|ARMD9|AHUS5|acylation-stimulating protein cleavage product | |
Accession ID NP_000055.2 | |
Blocking Peptide EBP11703 | |
Immunogen Peptide with sequence QQRTFISPIKCRE, from the C Terminus of the protein sequence according to NP_000055.2. | |
Product Comments This antibody is expected to recognize the C3 alpha chain, C3b alpha' chain and the C3c alpha' chain fragment 2. | |
Peptide Sequence QQRTFISPIKCRE | |
Purification Method Purified from goat serum by ammonium sulphate precipitation followed by antigen affinity chromatography using the immunizing peptide. | |
Shipping Instructions Refrigerated | |
Predicted Species Human | |
Reactive Species Human | |
Human Gene ID 718 | |
Product Grade ![]() | |
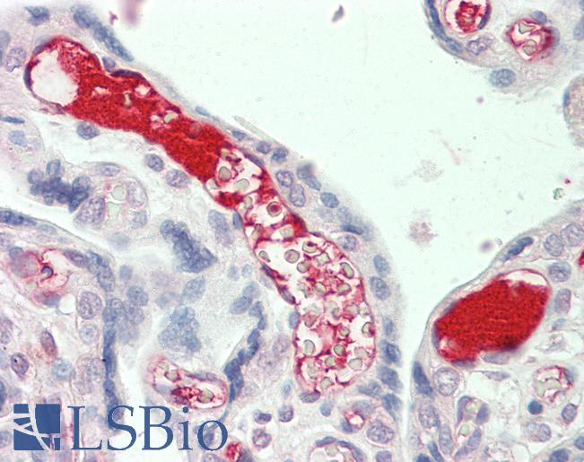
IHC Results Paraffin embedded Human Placenta and Testis. Recommended concentration: 5µg/ml. | |
ELISA Detection Limit Antibody detection limit dilution 1:128000. | |
Application Type Pep-ELISA, IHC |
Goat Anti-complement C3 (aa1580-1592) Antibody
$431.00
| SKU | Unit Size | Price |
|---|---|---|
Select a unit size:
Documents |


