Formulation Supplied at 0.5 mg/ml in Tris saline, 0.02% sodium azide, pH7.3 with 0.5% bovine serum albumin.
| |
Unit Size 100 µg | |
Storage Instructions Aliquot and store at -20°C. Minimize freezing and thawing. | |
Synonym / Alias Names neural cell surface protein F3|glycoprotein gP135|contactin-1|GP135|F3|contactin 1|CNTN1 | |
Accession ID NP_001834.2; NP_778203.1; NP_001242992.1 | |
Blocking Peptide EBP12273 | |
Immunogen Peptide with sequence C-ENIRGKDKHQAR, from the internal region of the protein sequence according to NP_001834.2; NP_778203.1; NP_001242992.1. | |
Product Comments This antibody is expected to recognize all reported isoforms (NP_001834.2; NP_778203.1; NP_001242992.1). Reported variants represent identical protein: NP_001242993.1, NP_001242992.1. | |
Peptide Sequence C-ENIRGKDKHQAR | |
Purification Method Purified from goat serum by ammonium sulphate precipitation followed by antigen affinity chromatography using the immunizing peptide. | |
Shipping Instructions Refrigerated | |
Predicted Species Human, Mouse, Rat, Pig | |
Reactive Species Human, Mouse, Rat, Pig | |
Human Gene ID 1272 | |
Mouse Gene ID 12805 | |
Rat Gene ID 117258 | |
Product Grade ![]() | |
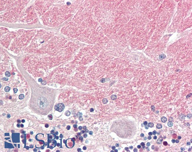
IHC Results Paraffin embedded Human Brain (Cerebellum). Recommended concentration: 5µg/ml. | |
ELISA Detection Limit Antibody detection limit dilution 1:32000. | |
Western Blot Approx 140kDa band observed in Human, Mouse, Rat and Pig Brain lysates (calculated MW of 113kDa according to NP_001834.2). The observed molecular weight corresponds to the glycosylated form. Recommended concentration: 0.3-1µg/ml. Primary incubation was 1 hour. | |
Application Type Pep-ELISA, WB, IHC |
Goat Anti-contactin 1 Antibody
$431.00
| SKU | Unit Size | Price |
|---|---|---|
Select a unit size:
Documents |



