Formulation Supplied at 0.5 mg/ml in Tris saline, 0.02% sodium azide, pH7.3 with 0.5% bovine serum albumin.
| |
Unit Size 100 µg | |
Storage Instructions Aliquot and store at -20°C. Minimize freezing and thawing. | |
Synonym / Alias Names cytochrome c oxidase polypeptide IV|COXIV-1|COX4-1|MGC72016|COXIV|COX4|cytochrome c oxidase subunit IV isoform 1|COX4I1 | |
Accession ID NP_001852.1; NP_001305726.1 | |
Blocking Peptide EBP07914 | |
Immunogen Peptide with sequence C-QGLASKWDYEKNE, from the C Terminus of the protein sequence according to NP_001852.1; NP_001305726.1. | |
Product Comments This antibody is expected to recognize reported isoforms 1 and 4 (NP_001852.1; NP_001305726.1). Reported variants represent identical protein: NP_001305715.1, NP_001852.1. This product may cross-react to COX4I2 (GeneID 84701). | |
Peptide Sequence C-QGLASKWDYEKNE | |
Purification Method Purified from goat serum by ammonium sulphate precipitation followed by antigen affinity chromatography using the immunizing peptide. | |
Shipping Instructions Refrigerated | |
Predicted Species Human | |
Reactive Species Human | |
Human Gene ID 1327 | |
Product Grade ![]() | |
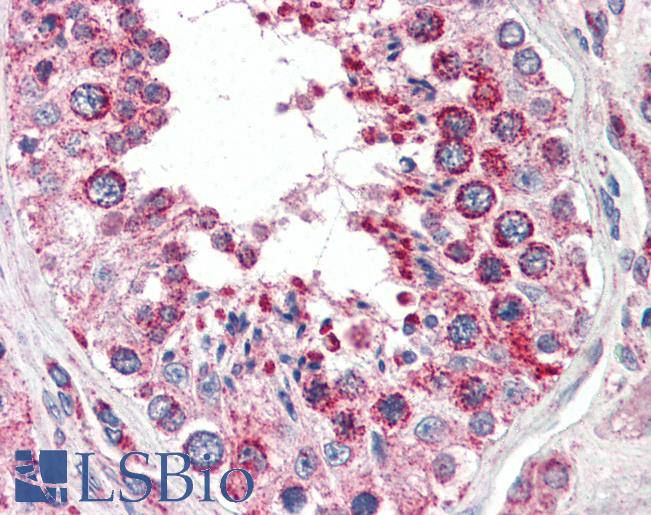
IHC Results Paraffin embedded Human Thyroid and Testis. Recommended concentration: 2.5µg/ml. | |
ELISA Detection Limit Antibody detection limit dilution 1:4000. | |
Western Blot Approx 18kDa band observed in human skeletal muscle lysates (calculated MW of 19.6kDa according to NP_001852.1). Recommended concentration: 0.01-0.03µg/ml. | |
Application Type Pep-ELISA, WB, IHC |
Goat Anti-COX4I1 Antibody
$431.00
| SKU | Unit Size | Price |
|---|---|---|
Select a unit size:
Documents |



