Formulation Supplied at 0.5 mg/ml in Tris saline, 0.02% sodium azide, pH7.3 with 0.5% bovine serum albumin.
| |
Unit Size 100 µg | |
Storage Instructions Aliquot and store at -20°C. Minimize freezing and thawing. | |
Synonym / Alias Names CRISP2|TSP1|TPX1|testis specific protein 1 (probe H4-1 p3-1)|OTTHUMP00000016589|MGC111136|glyceraldehyde-3-phosphate dehydrogenase-like 5|GAPDL5|cysteine-rich secretory protein 2|CRISP-2 | |
Accession ID NP_003287.1 | |
Blocking Peptide EBP09849 | |
Immunogen Peptide with sequence C-QHSDPEDRKTSTR, from the internal region of the protein sequence according to NP_003287.1. | |
Product Comments Reported variants represent identical protein: NP_003287.1, NP_001135879.1, NP_001135889.1, NP_001135907.1, NP_001135880.1. | |
Peptide Sequence C-QHSDPEDRKTSTR | |
Purification Method Purified from goat serum by ammonium sulphate precipitation followed by antigen affinity chromatography using the immunizing peptide. | |
Shipping Instructions Refrigerated | |
Predicted Species Human, Pig, Dog | |
Reactive Species Human | |
Human Gene ID 7180 | |
Product Grade ![]() | |
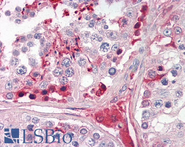
IHC Results Paraffin embedded Human Testis. Recommended concentration: 3.75µg/ml. | |
ELISA Detection Limit Antibody detection limit dilution 1:8000. | |
Western Blot In transfected HEK293 transiently expressing Human CRISP2 (MYC and DYKDDDDK tagged), a band of approx. 35kDa was observed. No bands were observed in mock-transfected HEK293 and the same band was observed using anti-myc tag antibody. Recommended concentration: 0.5-1µg/ml. Primary incubations were for 1 hour.
Preliminary experiments gave an approx 55kDa band in Human Testis lysates after 1µg/ml antibody staining. Please note that currently we cannot find an explanation in the literature for the band we observe given the calculated size of 27.3kDa according to NP_003287.1. The 55kDa band was successfully blocked by incubation with the immunizing peptide. | |
Application Type Pep-ELISA, WB-Trf, IHC |
Goat Anti-CRISP2 Antibody
$431.00
| SKU | Unit Size | Price |
|---|---|---|
Select a unit size:
Documents |


