Formulation Supplied at 0.5 mg/ml in Tris saline, 0.02% sodium azide, pH7.3 with 0.5% bovine serum albumin.
| |
Unit Size 100 µg | |
Storage Instructions Aliquot and store at -20°C. Minimize freezing and thawing. | |
Synonym / Alias Names LIM domain only 5, smooth muscle|SmLIM|LMO5|cysteine and glycine-rich protein 2|CSRP2|CRP2 | |
Accession ID NP_001312.1 | |
Blocking Peptide EBP08182 | |
Immunogen Peptide with sequence C-ERLGIKPESVQP, from the internal region of the protein sequence according to NP_001312.1. | |
Peptide Sequence C-ERLGIKPESVQP | |
Purification Method Purified from goat serum by ammonium sulphate precipitation followed by antigen affinity chromatography using the immunizing peptide. | |
Shipping Instructions Refrigerated | |
Predicted Species Human, Mouse, Rat, Horse | |
Reactive Species Human, Mouse, Rat | |
Human Gene ID 1466 | |
Mouse Gene ID 13008 | |
Product Grade ![]() | |
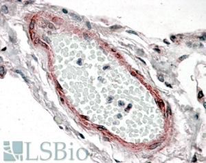
IHC Results In paraffin embedded Human Lung shows staining of the endothelial cells of a blood vessel. Recommended concentration: 3-6µg/ml. | |
ELISA Detection Limit Antibody detection limit dilution 1:64000. | |
Western Blot Approx 26kDa band observed in Human, Mouse and Rat Kidney lysates (calculated MW of 21.0kDa according to NP_001312.1). The observed molecular weight corresponds to earlier findings in literature with different antibodies (Huber et al, J Biol Chem. 2000 Feb 25;275(8):5504-11; PMID: 10681529). In transfected HEK293 transiently expressing CRP2 a band of approx. 26kDa is observed. This band is not observed in the non-transfected HEK293. Recommended concentration: 0.1-0.3µg/ml. Primary incubation was 1 hour. | |
Application Type Pep-ELISA, WB, IHC |
Goat Anti-CRP2 / CSRP2 Antibody
$431.00
| SKU | Unit Size | Price |
|---|---|---|
Select a unit size:
Documents |



