Formulation Supplied at 0.5 mg/ml in Tris saline, 0.02% sodium azide, pH7.3 with 0.5% bovine serum albumin.
| |
Unit Size 100 µg | |
Storage Instructions Aliquot and store at -20°C. Minimize freezing and thawing. | |
Synonym / Alias Names retinoic acid-metabolizing cytochrome|cytochrome P450, family 26, subfamily b, polypeptide 1|cytochrome P450 retinoid metabolizing protein|P450RAI-2|MGC129613|DKFZp686G0638|CYP26A2|cytochrome P450, family 26, subfamily B, polypeptide 1|CYP26B1 | |
Usage Summary Flow Cytometry: Flow cytometric analysis of A431 cells. Recommended concentration: 10ug/ml. | |
Accession ID NP_063938.1; NP_001264671.1 | |
Blocking Peptide EBP07481 | |
Immunogen Peptide with sequence C-SQARSEDKDGRFH, from the internal region of the protein sequence according to NP_063938.1; NP_001264671.1. | |
Peptide Sequence C-SQARSEDKDGRFH | |
Purification Method Purified from goat serum by ammonium sulphate precipitation followed by antigen affinity chromatography using the immunizing peptide. | |
Shipping Instructions Refrigerated | |
Predicted Species Human, Mouse, Rat, Dog | |
Reactive Species Human | |
Human Gene ID 56603 | |
Mouse Gene ID 232174 | |
Rat Gene ID 312495 | |
Product Grade ![]() | |
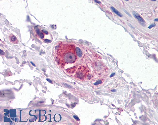
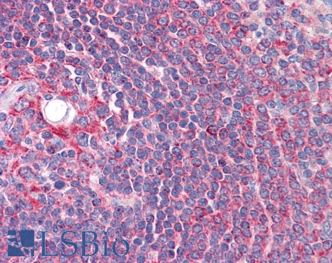
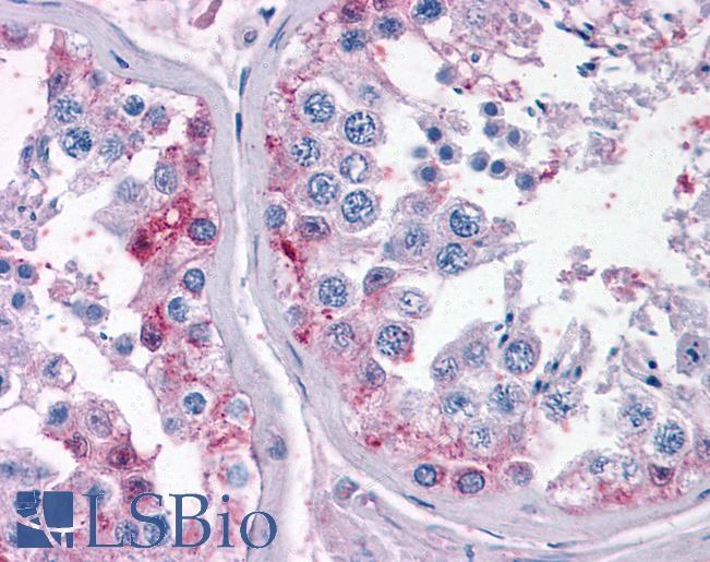
IHC Results In paraffin embedded Human Cerebellum shows staining of cell bodies in the Molecular Layer. Recommended concentration: 4-6µg/ml. Paraffin embedded Human Small Intestine, Spleen and Testis. Recommended concentration: 3.75µg/ml. | |
ELISA Detection Limit Antibody detection limit dilution 1:128000. | |
Application Type Pep-ELISA, FC, IHC |
Goat Anti-CYP26B1 Antibody
$464.00
| SKU | Unit Size | Price |
|---|---|---|
Select a unit size:
Documents |





