Formulation Supplied at 0.5 mg/ml in Tris saline, 0.02% sodium azide, pH7.3 with 0.5% bovine serum albumin.
| |
Unit Size 100 µg | |
Storage Instructions Aliquot and store at -20°C. Minimize freezing and thawing. | |
Synonym / Alias Names neutrophil peptide 3|defensin, alpha 3, neutrophil-specific|DEFA3|myeloid-related sequence|defensin, alpha 1|MRS|HP-1|HNP-1|DEF1|HGNC:2761|defensin, alpha 1, myeloid-related sequence|DEFA1 | |
Accession ID NP_004075.1; NP_005208.1 | |
Blocking Peptide EBP09742 | |
Immunogen Peptide with sequence C-DESLAPKHPGSRKN, from the internal region of the protein sequence according to NP_004075.1; NP_005208.1. | |
Product Comments This antibody is expected to equally recognize DEFA1 precursor and DEFA3 precursor. | |
Peptide Sequence C-DESLAPKHPGSRKN | |
Purification Method Purified from goat serum by ammonium sulphate precipitation followed by antigen affinity chromatography using the immunizing peptide. | |
Shipping Instructions Refrigerated | |
Predicted Species Human | |
Reactive Species Human | |
Human Gene ID 1667, 1668 | |
Product Grade ![]() | |
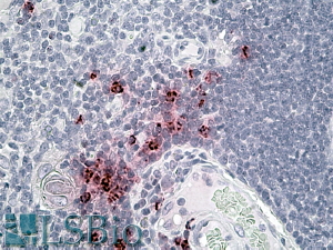
IHC Results Paraffin embedded Human Thymus. Recommended concentration: 3-6µg/ml. | |
ELISA Detection Limit Antibody detection limit dilution 1:128000. | |
Western Blot Approx 10kDa band observed in Human Spleen lysates (calculated MW of 10.2kDa according to NP_004075.1). An additional band of unknown identity was also consistently observed at 20kDa, and was successfully blocked by incubation with the immunizing peptide. Recommended concentration: 1-3µg/ml. Primary incubation 1 hour at room temperature. | |
Application Type Pep-ELISA, WB, IHC |
Goat Anti-DEFA1/3 precursor Antibody
$431.00
| SKU | Unit Size | Price |
|---|---|---|
Select a unit size:
Documents |


