Formulation Supplied at 0.5 mg/ml in Tris saline, 0.02% sodium azide, pH7.3 with 0.5% bovine serum albumin.
| |
Unit Size 100 µg | |
Storage Instructions Aliquot and store at -20°C. Minimize freezing and thawing. | |
Synonym / Alias Names DUT|deoxyuridine triphosphatase|dUTPase|dUTP nucleotidohydrolase|dUTP pyrophosphatase|deoxyuridine 5'-triphosphate nucleotidohydrolase, mitochondrial | |
Accession ID NP_001020419.1; NP_001939.1; NP_001020420.1 | |
Blocking Peptide EBP12748 | |
Immunogen Peptide with sequence C-QLRFARLSEHATAPT, from the internal region of the protein sequence according to NP_001020419.1; NP_001939.1; NP_001020420.1. | |
Product Comments This antibody is expected to recognize all reported isoforms (NP_001020419.1; NP_001939.1; NP_001020420.1). | |
Peptide Sequence C-QLRFARLSEHATAPT | |
Purification Method Purified from goat serum by ammonium sulphate precipitation followed by antigen affinity chromatography using the immunizing peptide. | |
Shipping Instructions Refrigerated | |
Predicted Species Human, Pig, Cow | |
Reactive Species Human | |
Human Gene ID 1854 | |
Product Grade ![]() | |
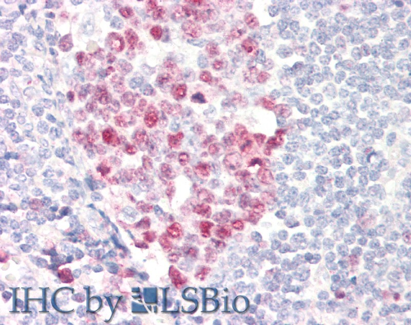
IHC Results Paraffin embedded Human Testis and Tonsil. Recommended concentration: 5µg/ml. | |
ELISA Detection Limit Antibody detection limit dilution 1:16000. | |
Western Blot Approx 20kDa band observed in lysates of cell lines HEK293 and HeLa (calculated MW of 17.7kDa according to NP_001939.1). Recommended concentration: 0.1-0.3µg/ml. Primary incubation was 1 hour. | |
Application Type Pep-ELISA, WB, IHC |
Goat Anti-dUTPase / DUT Antibody
$431.00
| SKU | Unit Size | Price |
|---|---|---|
Select a unit size:
Documents |



