Formulation Supplied at 0.5 mg/ml in Tris saline, 0.02% sodium azide, pH7.3 with 0.5% bovine serum albumin.
| |
Unit Size 100 µg | |
Storage Instructions Aliquot and store at -20°C. Minimize freezing and thawing. | |
Synonym / Alias Names bA36D19.5|BC019250 protein|DPY30 domain containing 1|DPY30D1|FLJ43920|OTTHUMP00000019963|DYDC1 | |
Accession ID NP_620167.1 | |
Blocking Peptide EBP09820 | |
Immunogen Peptide with sequence C-TLAEISDRYGAPN, from the internal region of the protein sequence according to NP_620167.1. | |
Peptide Sequence C-TLAEISDRYGAPN | |
Purification Method Purified from goat serum by ammonium sulphate precipitation followed by antigen affinity chromatography using the immunizing peptide. | |
Shipping Instructions Refrigerated | |
Predicted Species Human, Mouse, Rat, Cow | |
Reactive Species Human, Mouse, Rat | |
Human Gene ID 143241 | |
Mouse Gene ID 69496 | |
Rat Gene ID 688433 | |
Product Grade ![]() | |
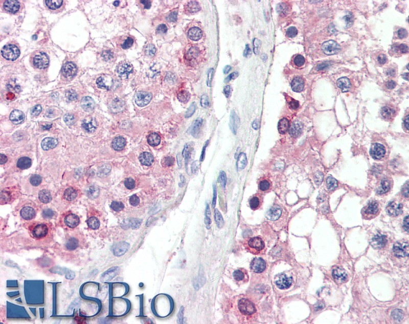
IHC Results Paraffin embedded Human Testis. Recommended concentration: 5µg/ml. | |
ELISA Detection Limit Antibody detection limit dilution 1:128000. | |
Western Blot n transfected HEK293 transiently expressing Human DYDC1 (myc and DYKDDDDK tagged), a band of approx. 28kDa is observed. No bands are observed in mock-transfected HEK293 and the same band is observed using anti-myc tag antibody. This 28kDa band is also observed in Human, Mouse and Rat Testis lysates. Recommended concentration: 0.1-1µg/ml. | |
Application Type Pep-ELISA, WB-Trf, IHC |
Goat Anti-DYDC1 (aa142-154) Antibody
$431.00
| SKU | Unit Size | Price |
|---|---|---|
Select a unit size:
Documents |


