Formulation Supplied at 0.5 mg/ml in Tris saline, 0.02% sodium azide, pH7.3 with 0.5% bovine serum albumin.
| |
Unit Size 100 µg | |
Storage Instructions Aliquot and store at -20°C. Minimize freezing and thawing. | |
Synonym / Alias Names putative RNA-binding protein Q99|argonaute 1|Golgi Endoplasmic Reticulum protein 95 kDa|Q99|GERP95|EIF2C|AGO1|eukaryotic translation initiation factor 2C, 1|EIF2C1 | |
Accession ID NP_036331.1 | |
Blocking Peptide EBP07129 | |
Immunogen Peptide with sequence C-KNASYNLDPYIQEF, from the internal region of the protein sequence according to NP_036331.1. | |
Product Comments This product is not expected to cross-react with EIF2C2, EIF2C3 and EIF2C4. | |
Peptide Sequence C-KNASYNLDPYIQEF | |
Purification Method Purified from goat serum by ammonium sulphate precipitation followed by antigen affinity chromatography using the immunizing peptide. | |
Shipping Instructions Refrigerated | |
Predicted Species Human, Mouse, Rat, Dog | |
Reactive Species Human | |
Human Gene ID 26523 | |
Product Grade ![]() | |
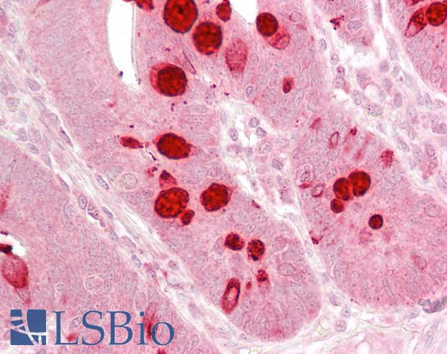
IHC Results Paraffin embedded Human Placenta and Small Intestine. Recommended concentration: 2.5µg/ml. | |
ELISA Detection Limit Antibody detection limit dilution 1:16000. | |
Western Blot In transfected HEK293 transiently expressing Human EIF2C1bands of approx. 110kDa and 35kDa are observed. The 110kDa band is not observed in the non-transfected HEK293. The calculated molecular size is 97.2kDa according to NP_036331.1. Recommended concentration, 0.3-1µg/ml. | |
Application Type Pep-ELISA, WB-Trf, IHC |
Goat Anti-EIF2C1 / AGO1 Antibody
$431.00
| SKU | Unit Size | Price |
|---|---|---|
Select a unit size:
Documents |



