Formulation Supplied at 0.5 mg/ml in Tris saline, 0.02% sodium azide, pH7.3 with 0.5% bovine serum albumin.
| |
Unit Size 100 µg | |
Storage Instructions Aliquot and store at -20°C. Minimize freezing and thawing. | |
Synonym / Alias Names ELMO-2|CED-12|RP11-394O2.2|engulfment and cell motility 2|engulfment and cell motility 2|PH domain protein CED12A|ced-12 homolog 2|KIAA1834|FLJ11656|CED12|engulfment and cell motility 2 (ced-12 homolog, C. elegans)|ELMO2 | |
Usage Summary Immunofluorescence: Strong expression of the protein seen in A549 and U2OS cells. Recommended concentration: 10µg/ml.
Flow Cytometry: Flow cytometric analysis of A549 cells. Recommended concentration: 10ug/ml. | |
Accession ID NP_877496.1; NP_573403.1; NP_001305182.1 | |
Blocking Peptide EBP05305 | |
Immunogen Peptide with sequence C-PKEPSSYDFVYHYG, from the C Terminus of the protein sequence according to NP_877496.1; NP_573403.1; NP_001305182.1. | |
Peptide Sequence C-PKEPSSYDFVYHYG | |
Purification Method Purified from goat serum by ammonium sulphate precipitation followed by antigen affinity chromatography using the immunizing peptide. | |
Shipping Instructions Refrigerated | |
Predicted Species Human, Mouse, Rat, Dog, Pig, Cow | |
Reactive Species Human, Mouse, Rat | |
Human Gene ID 63916 | |
Mouse Gene ID 140579 | |
Product Grade ![]() | |
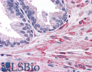
IHC Results In paraffin embedded Human Prostate shows pixulated staining in the cytoplasm of stroma cells. Recommended concentration: 3-6µg/ml. | |
ELISA Detection Limit Antibody detection limit dilution 1:32000. | |
Western Blot Approx 80kDa band observed in lysates of cell lines HEK293, Jurkat, RAW264.7 and in Human Cerebellum and Rat Brain lysates (calculated MW of 82.6kDa according to Human NP_573403.1 and NP_877496.1 and Mouse NP_525026.2, and 83.7kDa according tp Rat NP_001128427.1). Recommended concentration: 0.3-1ug//ml. | |
Application Type Pep-ELISA, WB, IHC, IF, FC |
Goat Anti-ELMO2 Antibody
$431.00
| SKU | Unit Size | Price |
|---|---|---|
Select a unit size:
Documents |






