Formulation Supplied at 0.5 mg/ml in Tris saline, 0.02% sodium azide, pH7.3 with 0.5% bovine serum albumin.
| |
Unit Size 100 µg | |
Storage Instructions Aliquot and store at -20°C. Minimize freezing and thawing. | |
Synonym / Alias Names phosphodiesterase|extracellular lysophospholipase D|ectonucleotide pyrophosphatase/phosphodiesterase family member 2|autotaxin-t|E-NPP 2|PDNP2|PD-IALPHA|NPP2|LysoPLD|AUTOTAXIN|ATX-X|ATX|ectonucleotide pyrophosphatase/phosphodiesterase 2|ENPP2 | |
Accession ID NP_006200.3; NP_001035181.1, NP_001124335.1 | |
Blocking Peptide EBP12236 | |
Immunogen Peptide with sequence PDHLTSCVRPDVRVS, from the internal region of the protein sequence according to NP_006200.3; NP_001035181.1, NP_001124335.1. | |
Product Comments This antibody is expected to recognize iall reported isoforms (NP_006200.3; NP_001035181.1, NP_001124335.1). | |
Peptide Sequence PDHLTSCVRPDVRVS | |
Purification Method Purified from goat serum by ammonium sulphate precipitation followed by antigen affinity chromatography using the immunizing peptide. | |
Shipping Instructions Refrigerated | |
Predicted Species Human | |
Reactive Species Human | |
Human Gene ID 5168 | |
Product Grade ![]() | |
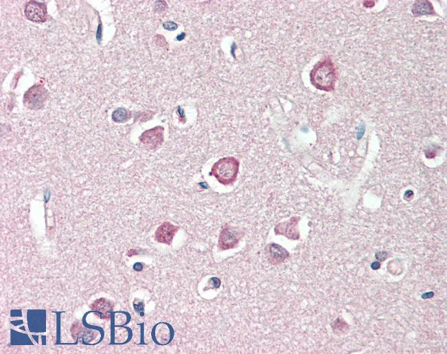
IHC Results Paraffin embedded Human Liver and Brain (Cortex). Recommended concentration: 5µg/ml. | |
ELISA Detection Limit Antibody detection limit dilution 1:128000. | |
Western Blot Approx 100kDa band observed in Human Placenta lysates (calculated MW of 105kDa according to NP_006200.3). Recommended concentration: 0.3-1µg/ml. Primary incubation was 1 hour. | |
Application Type Pep-ELISA, WB, IHC |
Goat Anti-ENPP2 / AUTOTAXIN (aa698-712) Antibody
$431.00
| SKU | Unit Size | Price |
|---|---|---|
Select a unit size:
Documents |



