Formulation Supplied at 0.5 mg/ml in Tris saline, 0.02% sodium azide, pH7.3 with 0.5% bovine serum albumin.
| |
Unit Size 100 µg | |
Storage Instructions Aliquot and store at -20°C. Minimize freezing and thawing. | |
Synonym / Alias Names erythrocyte membrane protein band 4.1 like-protein 2|OTTHUMP00000040262|DKFZp781H1755|DKFZp781D1972|RP3-324N14.1|erythrocyte membrane protein band 4.1-like 2|4.1-G|EPB41L2 | |
Usage Summary Immunofluorescence: Strong expression of the protein seen in the membranes of A431 and in the cell junctions of U2OS cells. Recommended concentration: 10µg/ml.
Flow Cytometry: Flow cytometric analysis of A431 cells. Recommended concentration: 10ug/ml. | |
Accession ID NP_001422.1; NP_001129026.1; NP_001186317.1; NP_001239589.1; NP_001337228.1; NP_001337230.1; NP_001337232.1; NP_001337233.1; NP_001337236.1; NP_001337243.1; NP_001337249.1 | |
Blocking Peptide EBP08135 | |
Immunogen Peptide with sequence C-RREVRSPTKAPH, from the internal region of the protein sequence according to NP_001422.1; NP_001129026.1; NP_001186317.1; NP_001239589.1; NP_001337228.1; NP_001337230.1; NP_001337232.1; NP_001337233.1; NP_001337236.1; NP_001337243.1; NP_001337249.1. | |
Product Comments This antibody is reported to recognise all isoforms NP_001422.1 (iso a), NP_001129026.1 (iso b), NP_001186317.1 (iso c), NP_001239589.1 (iso d), NP_001337228.1 (iso e), NP_001337230.1 (iso f), NP_001337232.1 (iso g),NP_001337233.1 (iso h), NP_001337236.1 (iso i), NP_001337243.1 (iso j), NP_001337249.1 (iso k). | |
Peptide Sequence C-RREVRSPTKAPH | |
Purification Method Purified from goat serum by ammonium sulphate precipitation followed by antigen affinity chromatography using the immunizing peptide. | |
Shipping Instructions Refrigerated | |
Predicted Species Human | |
Reactive Species Human | |
Human Gene ID 2037 | |
Product Grade ![]() | |
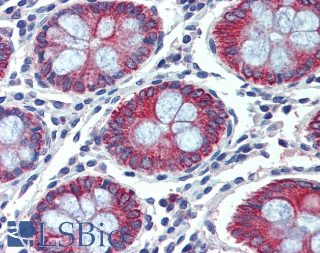
IHC Results Paraffin embedded Human Uterus and Colon. Recommended concentration: 2.5µg/ml. | |
ELISA Detection Limit Antibody detection limit dilution 1:32000. | |
Western Blot Preliminary testing showed bands at approx 110+40kDa in Human Cerebellum lysatesafter 0.1µg/ml antibody staining (calculated MW of 113kDa according to NP_001422.1 These bands were successfully blocked by incubation with the immunizing peptide. Primary incubation 1 hour at room temperature. | |
Application Type Pep-ELISA, IF, IHC, FC |
Goat Anti-EPB41L2 / 4.1G (aa 593 to 604) Antibody
$431.00
| SKU | Unit Size | Price |
|---|---|---|
Select a unit size:
Documents |





