Formulation Supplied at 0.5 mg/ml in Tris saline, 0.02% sodium azide, pH7.3 with 0.5% bovine serum albumin.
| |
Unit Size 100 µg | |
Storage Instructions Aliquot and store at -20°C. Minimize freezing and thawing. | |
Synonym / Alias Names extraskeletal myxoid chondrosarcoma EWS/TEC/CHN fusion protein|bK984G1.4 (Ewing sarcoma breakpoint region 1 protein)|Ewings sarcoma EWS-Fli1 (type 1) oncogene|EWSR1/ZNF384 fusion protein|EWS/FLI fusion protein|Ewing sarcoma breakpoint region 1|EWS|EWSR1 | |
Usage Summary Additional validation: This antibody has been successfully used in the following paper: Sikorski et al. (2018) PMID: 30377371. | |
Accession ID NP_053733.2; NP_005234.1; NP_001156757.1; NP_001156758.1; NP_001156759.1 | |
Blocking Peptide EBP09167 | |
Immunogen Peptide with sequence C-TSYDQSSYSQQNTYG, from the internal region of the protein sequence according to NP_053733.2; NP_005234.1; NP_001156757.1; NP_001156758.1; NP_001156759.1. | |
Product Comments This antibody is expected to recognize all five reported isoforms (NP_053733.2; NP_005234.1; NP_001156757.1; NP_001156758.1; NP_001156759.1). | |
Peptide Sequence C-TSYDQSSYSQQNTYG | |
Purification Method Purified from goat serum by ammonium sulphate precipitation followed by antigen affinity chromatography using the immunizing peptide. | |
Shipping Instructions Refrigerated | |
Predicted Species Human, Mouse, Rat, Pig, Cow | |
Reactive Species Human | |
Human Gene ID 2130 | |
Mouse Gene ID 14030 | |
Rat Gene ID 289752 | |
Product Grade ![]() | |
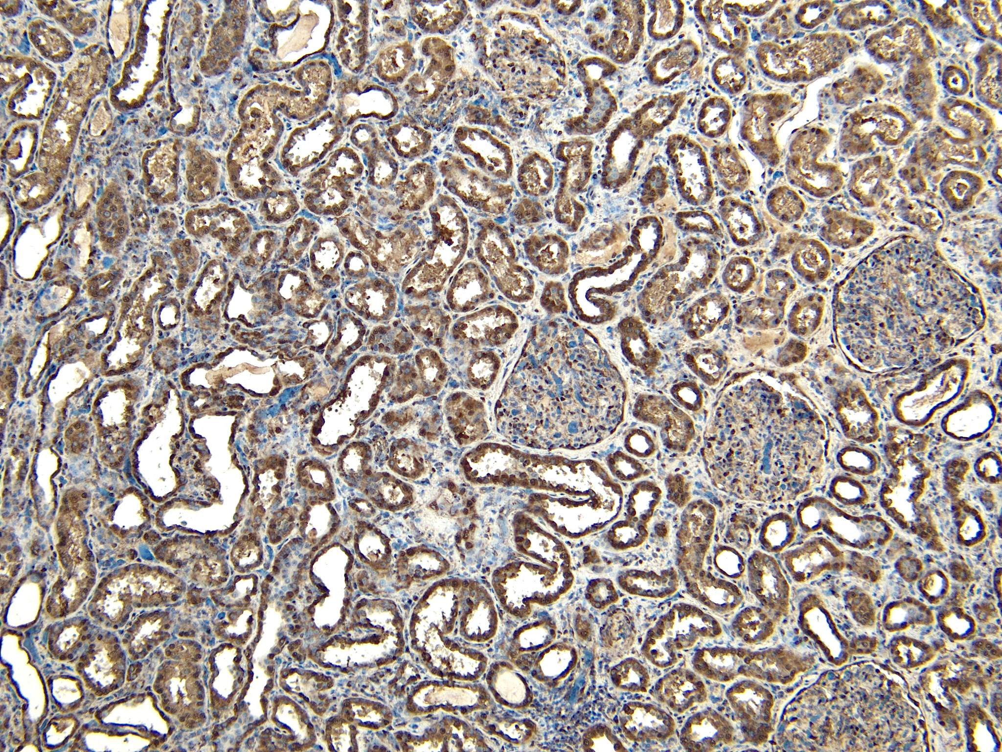
IHC Results Paraffin embedded Human Kidney. Recommended concentration: 5-7µg/ml. | |
ELISA Detection Limit Antibody detection limit dilution 1:64000. | |
Western Blot Approx. 90kDa band observed in nuclear lysates of cell line HeLa (calculated MW of 68.5kDa according to NP_053733.1). This molecular weight is routinely observed by other sources. Recommended concentration: 0.3-1µg/ml. | |
Application Type Pep-ELISA, WB, IHC |
Goat Anti-EWS / EWSR1 Antibody
$431.00
| SKU | Unit Size | Price |
|---|---|---|
Select a unit size:
Selected References [{"pmid": 30377371, "intro": "This antibody has been successfully used in the following paper:", "title": "A high-throughput pipeline for validation of antibodies", "author": "Krzysztof Sikorski, Adi Mehta, Marit Inngjerdingen, Flourina Thakor, Simon Kling, Tomas Kalina, Tuula A. Nyman, Maria Ekman Stensland, Wei Zhou, Gustavo A. De Souza, Lars Holden, Jan Stuchly, Markus Templin and Fridtjof Lund-Johansen", "journal": "Nat Methods. 2018 Nov;15(11):909-912"}] |
Documents |



