Formulation Supplied at 0.5 mg/ml in Tris saline, 0.02% sodium azide, pH7.3 with 0.5% bovine serum albumin.
| |
Unit Size 100 µg | |
Storage Instructions Aliquot and store at -20°C. Minimize freezing and thawing. | |
Synonym / Alias Names jumonji C domain-containing histone demethylase 1B|protein containing CXXC domain 2|JEMMA (Jumonji domain, EMSY-interactor, methyltransferase motif) protein|PCCX2|JHDM1B|Fbl10|CXXC2|F-box and leucine-rich repeat protein 10|FBXL10|FBL10|lysine (K)-specific demethylase 2B|KDM2B | |
Accession ID NP_115979.3 | |
Blocking Peptide EBP06048 | |
Immunogen Peptide with sequence C-FGQVEEKLLQKLS, from the C Terminus of the protein sequence according to NP_115979.3. | |
Product Comments This antibody is expected to recognize isoform a (NP_115979.3) only. | |
Peptide Sequence C-FGQVEEKLLQKLS | |
Purification Method Purified from goat serum by ammonium sulphate precipitation followed by antigen affinity chromatography using the immunizing peptide. | |
Shipping Instructions Refrigerated | |
Predicted Species Human, Mouse, Rat, Dog | |
Reactive Species Human | |
Human Gene ID 84678 | |
Mouse Gene ID 30841 | |
Rat Gene ID 304495 | |
Product Grade ![]() | |
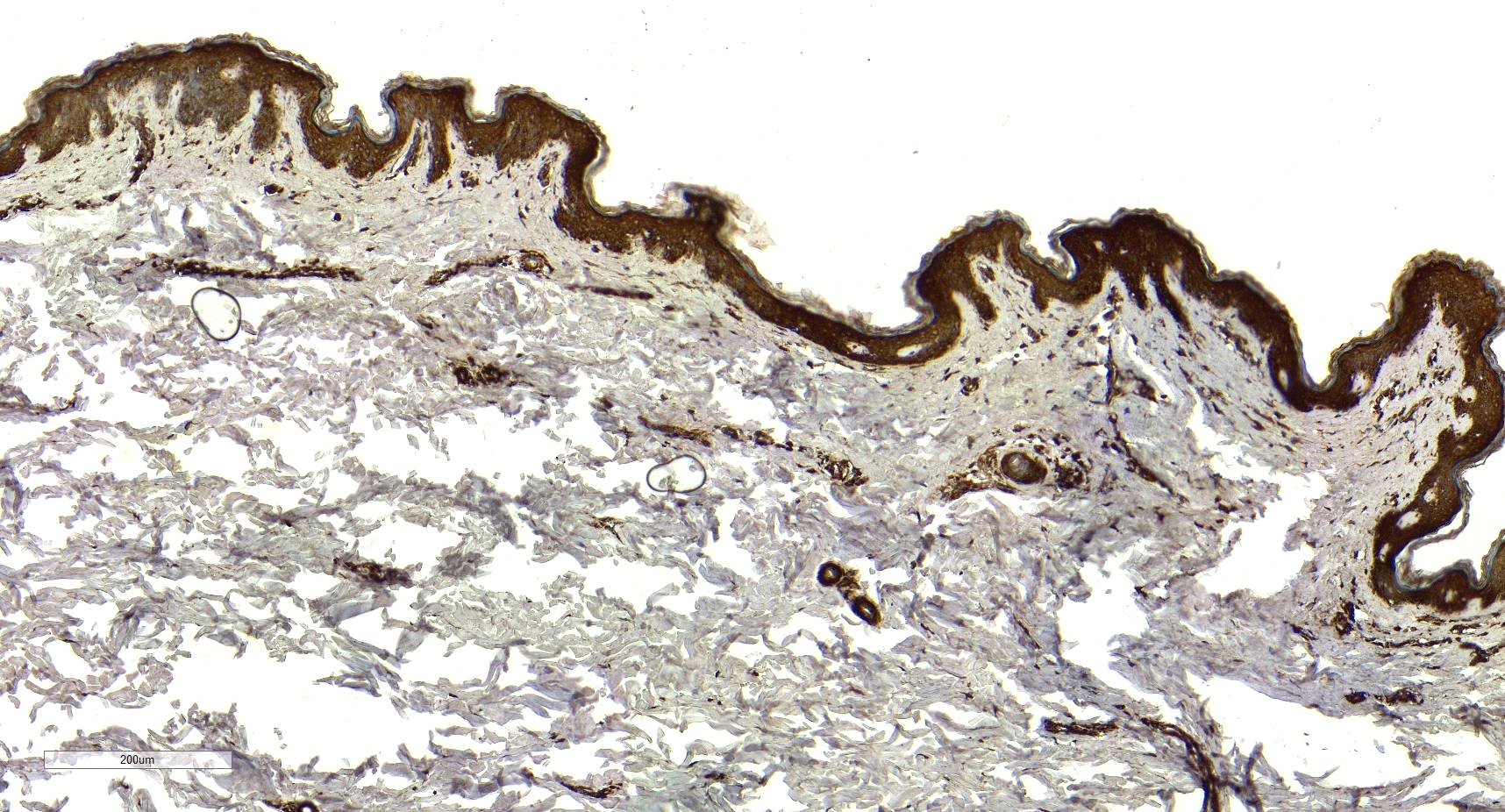
IHC Results Paraffin embedded Human Skin. Recommended concentration: 5-7µg/ml. | |
ELISA Detection Limit Antibody detection limit dilution 1:32000. | |
Application Type Pep-ELISA, IHC |
Goat Anti-FBXL10 / PCCX2 Antibody
$431.00
| SKU | Unit Size | Price |
|---|---|---|
Select a unit size:
Documents |



