Formulation Supplied at 0.5 mg/ml in Tris saline, 0.02% sodium azide, pH7.3 with 0.5% bovine serum albumin.
| |
Unit Size 100 µg | |
Storage Instructions Aliquot and store at -20°C. Minimize freezing and thawing. | |
Synonym / Alias Names soluble FGFR1 variant 2|soluble FGFR1|OTTHUMP00000190881|OGD|HBGFR|FLJ99988|FGFBR|CD331|fibroblast growth factor receptor 1|basic fibroblast growth factor receptor 1|heparin-binding growth factor receptor|fms-related tyrosine kinase-2|hydroxyaryl-protein kinase|FMS-like tyrosine kinase 2|protein-tyrosine kinase|tyrosylprotein kinase|N-sam tyrosine kinase|FLG protein|fibroblast growth factor receptor 1 (fms-related tyrosine kinase 2, Pfeiffer syndrome)|N-SAM|C-FGR|BFGFR|KAL2|FLT2|FLG|CEK|H5|H4|H3|H2|FGFR1 | |
Accession ID NP_075598.2; NP_056934.2; NP_075593.1; NP_075594.1; NP_075599.1 | |
Blocking Peptide EBP06649 | |
Immunogen Peptide with sequence CLPRHPAQLANGGLKR, from the C Terminus of the protein sequence according to NP_075598.2; NP_056934.2; NP_075593.1; NP_075594.1; NP_075599.1. | |
Product Comments This antibody is expected to recognise five isoforms (as represented by NP_075598.2; NP_056934.2; NP_075593.1; NP_075594.1; NP_075599.1). | |
Peptide Sequence CLPRHPAQLANGGLKR | |
Purification Method Purified from goat serum by ammonium sulphate precipitation followed by antigen affinity chromatography using the immunizing peptide. | |
Shipping Instructions Refrigerated | |
Predicted Species Human, Dog, Cow | |
Reactive Species Human | |
Human Gene ID 2260 | |
Product Grade ![]() | |
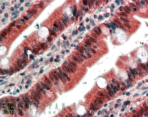
IHC Results In paraffin embedded Human Small Intestine shows staining of the enterocytic cytoplasm. Recommended concentration: 4-6µg/ml. Paraffin embedded Human Kidney. Recommended concentration: 4µg/ml. | |
ELISA Detection Limit Antibody detection limit dilution 1:32000. | |
Western Blot Approx 75kDa band observed in Human Breast lysates (calculated MW of 82.2kDa according to NP_075593, 81.9kDa according to NP_075594). Recommended concentration: 0.3-1µg/ml. | |
Application Type Pep-ELISA, WB, IHC |
Goat Anti-FGFR1 Antibody
$431.00
| SKU | Unit Size | Price |
|---|---|---|
Select a unit size:
Documents |



