Formulation Supplied at 0.5 mg/ml in Tris saline, 0.02% sodium azide, pH7.3 with 0.5% bovine serum albumin.
| |
Unit Size 100 µg | |
Storage Instructions Aliquot and store at -20°C. Minimize freezing and thawing. | |
Synonym / Alias Names fibrinogen, B beta polypeptide|fibrinogen beta chain|FGB | |
Accession ID NP_005132.2; NP_001171670.1 | |
Blocking Peptide EBP12378 | |
Immunogen Peptide with sequence C-EKHQLYIDETVNSN, from the internal region of the protein sequence according to NP_005132.2; NP_001171670.1. | |
Product Comments This antibody is expected to recognize both reported isoforms (NP_005132.2; NP_001171670.1). | |
Peptide Sequence C-EKHQLYIDETVNSN | |
Purification Method Purified from goat serum by ammonium sulphate precipitation followed by antigen affinity chromatography using the immunizing peptide. | |
Shipping Instructions Refrigerated | |
Predicted Species Human, Pig | |
Reactive Species Human | |
Human Gene ID 2244 | |
Product Grade ![]() | |
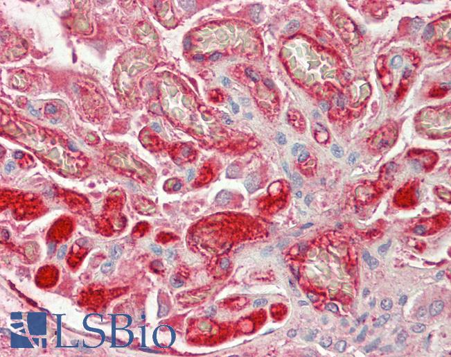
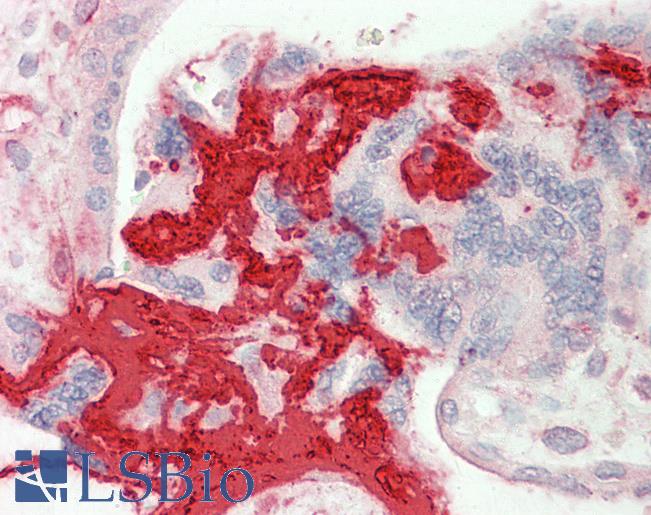
IHC Results Paraffin embedded Human Placenta and Kidney. Recommended concentration: 5µg/ml. | |
ELISA Detection Limit Antibody detection limit dilution 1:128000. | |
Western Blot Approx 60kDa band observed in Human Liver lysates (calculated MW of 55.9kDa according to NP_005132.2). Recommended concentration: 0.01-0.03µg/ml. Primary incubation 1 hour at room temperature. Preliminary testing was unsuccessful on Pig Liver for this particular batch. | |
Application Type Pep-ELISA, WB, IHC |
Goat Anti-fibrinogen beta chain (aa177-190) Antibody
$431.00
| SKU | Unit Size | Price |
|---|---|---|
Select a unit size:
Documents |



