Formulation Supplied at 0.5 mg/ml in Tris saline, 0.02% sodium azide, pH7.3 with 0.5% bovine serum albumin.
| |
Unit Size 100 µg | |
Storage Instructions Aliquot and store at -20°C. Minimize freezing and thawing. | |
Synonym / Alias Names rotamase|peptidylprolyl cis-trans isomerase|p59 protein|T-cell FK506-binding protein, 59kD|HSP binding immunophilin|FK506-binding protein 4 (59kD)|FK506-binding protein 4|FK506 binding protein 4 (59kD)|p52|PPIase|Hsp56|HBI|FKBP59|FK506 binding protein 4, 59kDa|FKBP52|FKBP4 | |
Accession ID NP_002005.1 | |
Blocking Peptide EBP09090 | |
Immunogen Peptide with sequence C-DHPTDTEMKEEQKSN, from the C Terminus of the protein sequence according to NP_002005.1. | |
Peptide Sequence C-DHPTDTEMKEEQKSN | |
Purification Method Purified from goat serum by ammonium sulphate precipitation followed by antigen affinity chromatography using the immunizing peptide. | |
Shipping Instructions Refrigerated | |
Predicted Species Human | |
Reactive Species Human | |
Human Gene ID 2288 | |
Product Grade ![]() | |
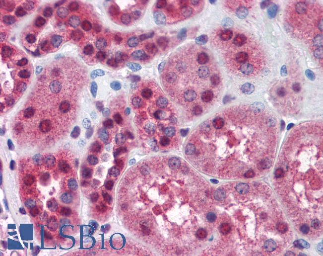
IHC Results Paraffin embedded Human Kidney and Brain (Cerebellum). Recommended concentration: 3.75µg/ml. | |
ELISA Detection Limit Antibody detection limit dilution 1:8000. | |
Western Blot Approx 52kDa band observed in Human Placenta lysates (calculated MW of 51.8kDa according to NP_002005.1). Recommended concentration: 0.01-0.03µg/ml. Primary incubation was 1 hour. | |
Application Type Pep-ELISA, WB, IHC |
Goat Anti-FKBP4 / FKBP52 Antibody
$431.00
| SKU | Unit Size | Price |
|---|---|---|
Select a unit size:
Documents |



