Formulation Supplied at 0.5 mg/ml in Tris saline, 0.02% sodium azide, pH7.3 with 0.5% bovine serum albumin.
| |
Unit Size 100 µg | |
Storage Instructions Aliquot and store at -20°C. Minimize freezing and thawing. | |
Synonym / Alias Names DADB-118P11.2|integral membrane component of caveolae|reggie-2|flotillin 1|FLOT1 | |
Accession ID NP_005794.1; NP_001305804.1 | |
Blocking Peptide EBP05449 | |
Immunogen Peptide with sequence C-SISQVNHKPLRTA, from the C Terminus of the protein sequence according to NP_005794.1; NP_001305804.1. | |
Product Comments This antibody is expected to recognize both reported isoforms (NP_005794.1; NP_001305804.1). | |
Peptide Sequence C-SISQVNHKPLRTA | |
Purification Method Purified from goat serum by ammonium sulphate precipitation followed by antigen affinity chromatography using the immunizing peptide. | |
Shipping Instructions Refrigerated | |
Predicted Species Human, Dog, Pig, Cow | |
Reactive Species Human | |
Human Gene ID 10211 | |
Mouse Gene ID 14251 | |
Product Grade ![]() | |
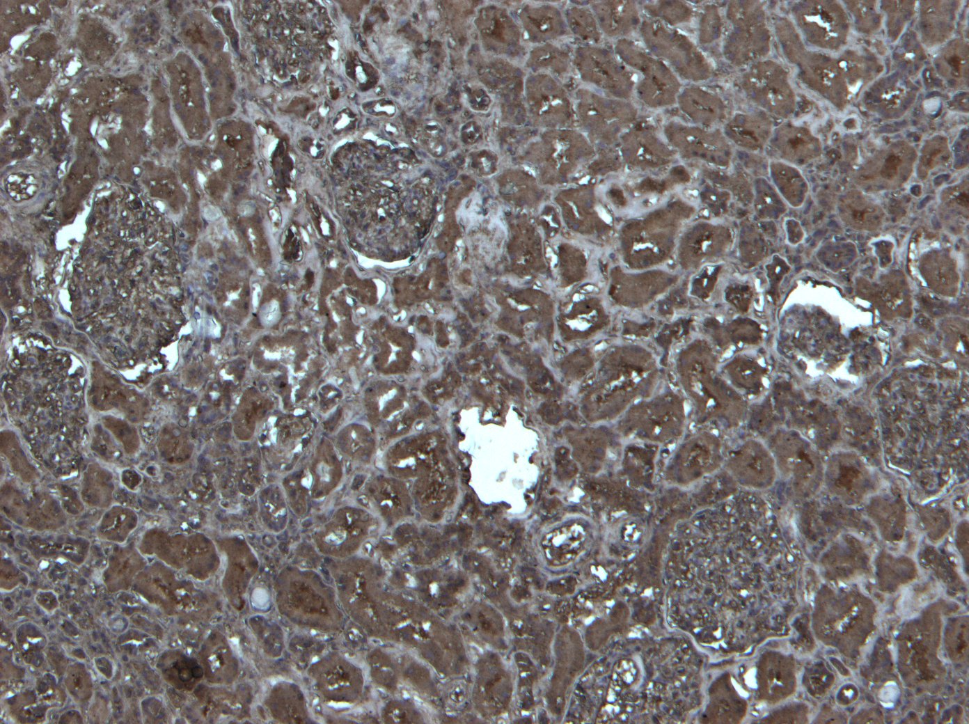
IHC Results Paraffin embedded Human Kidney. Recommended concentration: 5µg/ml. | |
ELISA Detection Limit Antibody detection limit dilution 1:32000. | |
Western Blot Approx 48kDa band observed in lysates of cell line K562 and in preliminary testing of cell lysate MCF7 (calculated MW of 47.4kDa according to NP_005794.1). Recommended concentration: 0.1-0.3µg/ml. Primary incubation 1 hour at room temperature. | |
Application Type Pep-ELISA, WB, IHC |
Goat Anti-Flotillin 1 Antibody
$431.00
| SKU | Unit Size | Price |
|---|---|---|
Select a unit size:
Documents |



