Formulation Supplied at 0.5 mg/ml in Tris saline, 0.02% sodium azide, pH7.3 with 0.5% bovine serum albumin.
| |
Unit Size 100 µg | |
Storage Instructions Aliquot and store at -20°C. Minimize freezing and thawing. | |
Synonym / Alias Names surface marker 1 (35kD protein identified by monoclonal antibody ECS-1)|chromosome 17|membrane component|ECS1|ECS-1|Flotillin 2 (epidermal surface antigen 1)|M17S1|ESA1|ESA|reggie-1|flotillin 2|FLOT2 | |
Accession ID NP_004466.2 | |
Blocking Peptide EBP05448 | |
Immunogen Peptide with sequence C-SKIPLIKKATGVQV, from the C Terminus of the protein sequence according to NP_004466.2. | |
Peptide Sequence C-SKIPLIKKATGVQV | |
Purification Method Purified from goat serum by ammonium sulphate precipitation followed by antigen affinity chromatography using the immunizing peptide. | |
Shipping Instructions Refrigerated | |
Predicted Species Human | |
Reactive Species Human | |
Human Gene ID 2319 | |
Product Grade ![]() | |
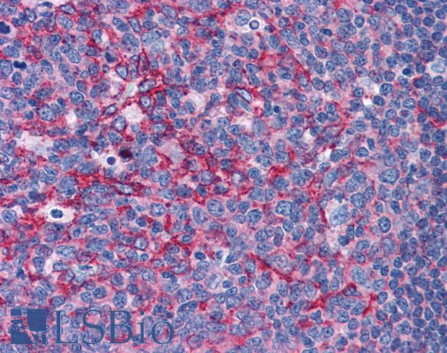
IHC Results Paraffin embedded Human Tonsil and Kidney. Recommended concentration: 3.75µg/ml. | |
ELISA Detection Limit Antibody detection limit dilution 1:32000. | |
Western Blot Approx 48kDa band observed in Human Brain (Cerebellum), Lung and Testis lysates (calculated MW of 47.1kDa according to NP_004466.2). Recommended concentration: 0.1-0.3µg/ml. | |
Application Type Pep-ELISA, WB, IHC |
Goat Anti-Flotillin 2 / FLOT2 (C Term) Antibody
$431.00
| SKU | Unit Size | Price |
|---|---|---|
Select a unit size:
Documents |



