Formulation Supplied at 0.5 mg/ml in Tris saline, 0.02% sodium azide, pH7.3 with 0.5% bovine serum albumin.
| |
Unit Size 100 µg | |
Storage Instructions Aliquot and store at -20°C. Minimize freezing and thawing. | |
Synonym / Alias Names Forkhead, drosophila, homolog-like 15|thyroid transcription factor-2|forkhead box E2|forkhead box E1|forkhead (Drosophila)-like 15|FKHL15|TTF-2|TITF2|HFKL5|HFKH4|FOXE2|forkhead box E1 (thyroid transcription factor 2)|TTF2|FOXE1 | |
Accession ID NP_004464.2 | |
Blocking Peptide EBP06011 | |
Immunogen Peptide with sequence C-AYPGGIDRFVSAM, from the C Terminus of the protein sequence according to NP_004464.2. | |
Peptide Sequence C-AYPGGIDRFVSAM | |
Purification Method Purified from goat serum by ammonium sulphate precipitation followed by antigen affinity chromatography using the immunizing peptide. | |
Shipping Instructions Refrigerated | |
Predicted Species Human | |
Reactive Species Human | |
Human Gene ID 2304 | |
Product Grade ![]() | |
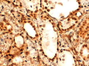
IHC Results In paraffin embedded Human Thyroid Gland shows nuclear staining in thyrocytes. Recommended concentration: 2-4µg/ml. Paraffin embedded Human Testis. Recommended concentration: 5µg/ml. | |
ELISA Detection Limit Antibody detection limit dilution 1:8000. | |
Western Blot Preliminary experiments gave an approx 70kDa band in Human Thymus and Thyroid Gland lysates after 0.3µg/ml antibody staining. Please note that currently we cannot find an explanation in the literature for the band we observe given the calculated size of 38.1kDa according to NP_004464.2. The 70kDa band was successfully blocked by incubation with the immunizing peptide. | |
Application Type Pep-ELISA, IHC |
Goat Anti-FOXE1 / TTF2 Antibody
$431.00
| SKU | Unit Size | Price |
|---|---|---|
Select a unit size:
Documents |


