Formulation Supplied at 0.5 mg/ml in Tris saline, 0.02% sodium azide, pH7.3 with 0.5% bovine serum albumin.
| |
Unit Size 100 µg | |
Storage Instructions Aliquot and store at -20°C. Minimize freezing and thawing. | |
Synonym / Alias Names forkhead-like 10|MGC34197|FKH10|hepatocyte nuclear factor 3 forkhead homolog 3|Forkhead, drosophila, homolog-like 10|forkhead (Drosophila)-like 10|forkhead-related activator 6|HNF-3/fork-head homolog-3|FREAC6|FKHL10|HFH3|forkhead box I1|FOXI1 | |
Accession ID NP_036320.2; NP_658982.1 | |
Blocking Peptide EBP06019 | |
Immunogen Peptide with sequence C-TSGVLYPREGTEV, from the C Terminus of the protein sequence according to NP_036320.2; NP_658982.1. | |
Product Comments This antibody is expected to recognise both reported human isoforms (NP_036320.2; NP_658982.1). | |
Peptide Sequence C-TSGVLYPREGTEV | |
Purification Method Purified from goat serum by ammonium sulphate precipitation followed by antigen affinity chromatography using the immunizing peptide. | |
Shipping Instructions Refrigerated | |
Predicted Species Human | |
Reactive Species Human | |
Human Gene ID 2299 | |
Product Grade ![]() | |
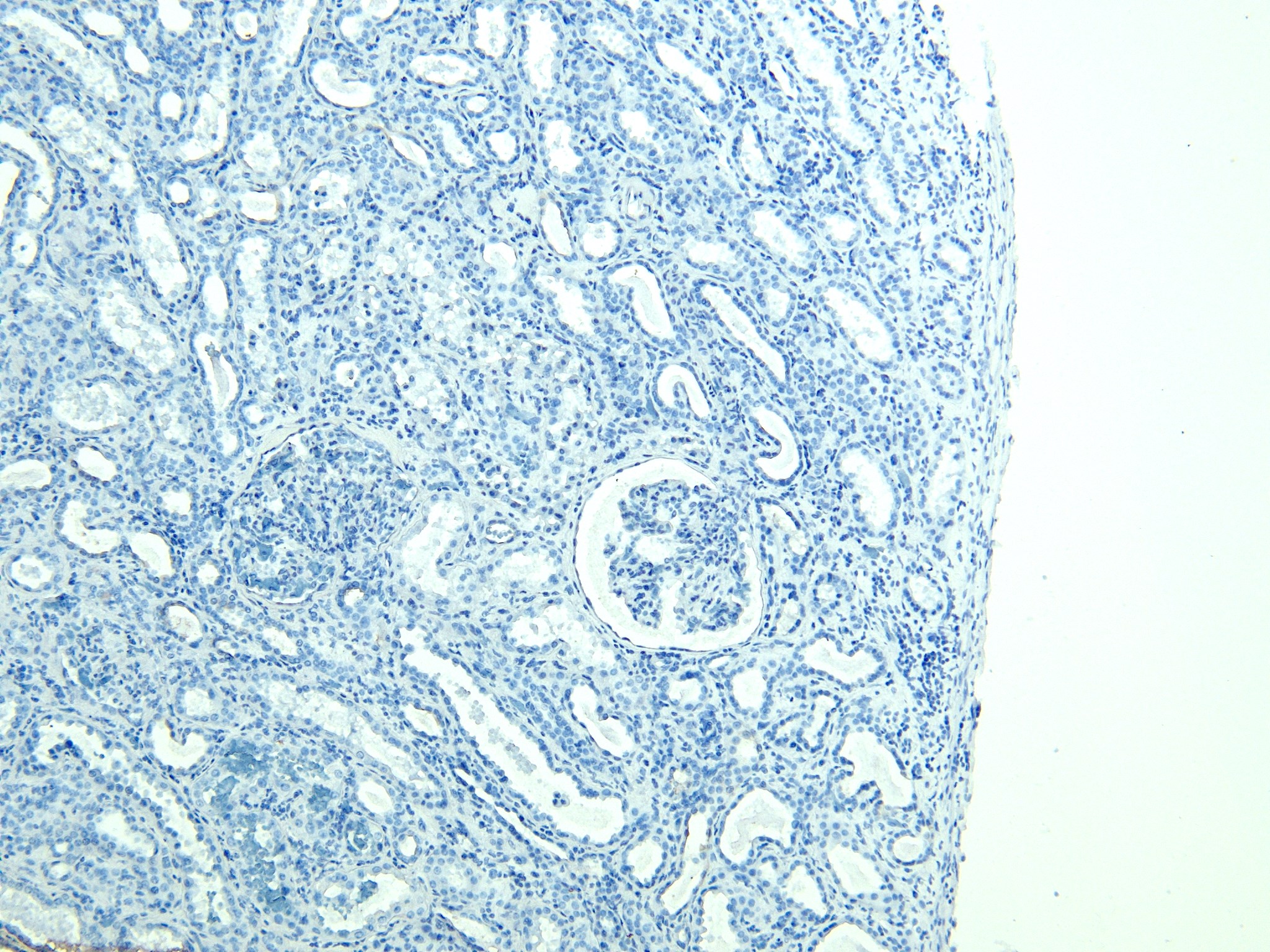
IHC Results Paraffin embedded Human Kidney. Recommended concentration: 5-6µg/ml. | |
ELISA Detection Limit Antibody detection limit dilution 1:8000. | |
Western Blot Approx 30kDa band observed in Human Testis lysates and in preliminary testing of Human Breast lysate, and approx. 40kDa in preliminary testing of U251 and MCF7 cell lysate l(calculated MW of 30.8kDa according to NP_658982.1 and 41.0kDa according to NP_036320.2). Recommended concentration: 1-3µg/ml. Primary incubation 1 hour at room temperature. | |
Application Type Pep-ELISA, WB, IHC |
Goat Anti-FOXI1 / FKHL10 Antibody
$431.00
| SKU | Unit Size | Price |
|---|---|---|
Select a unit size:
Documents |



