Formulation Supplied at 0.5 mg/ml in Tris saline, 0.02% sodium azide, pH7.3 with 0.5% bovine serum albumin.
| |
Unit Size 100 µg | |
Storage Instructions Aliquot and store at -20°C. Minimize freezing and thawing. | |
Synonym / Alias Names forkhead, Drosophila, homolog of, in rhabdomyosarcoma-like 1|forkhead homolog (rhabdomyosarcoma) like 1|FOXO2|forkhead box O3|FOXO3|forkhead, Drosophila, homolog of, in rhabdomyosarcoma-like 1|forkhead (Drosophila) homolog (rhabdomyosarcoma) like 1|forkhead box O3A|DKFZp781A0677|MGC31925|MGC12739|FKHRL1P2|AF6q21|FKHRL1|FOXO3A | |
Accession ID NP_001446.1 | |
Blocking Peptide EBP06392 | |
Immunogen Peptide with sequence C-GAKQASSQSWVPG, from the C Terminus of the protein sequence according to NP_001446.1. | |
Product Comments Both variants represent identical protein (NP_001446.1 and NP_963853.1). | |
Peptide Sequence C-GAKQASSQSWVPG | |
Purification Method Purified from goat serum by ammonium sulphate precipitation followed by antigen affinity chromatography using the immunizing peptide. | |
Shipping Instructions Refrigerated | |
Predicted Species Human, Mouse, Rat, Dog, Pig, Cow | |
Reactive Species Human | |
Human Gene ID 2309 | |
Mouse Gene ID 56484 | |
Product Grade ![]() | |
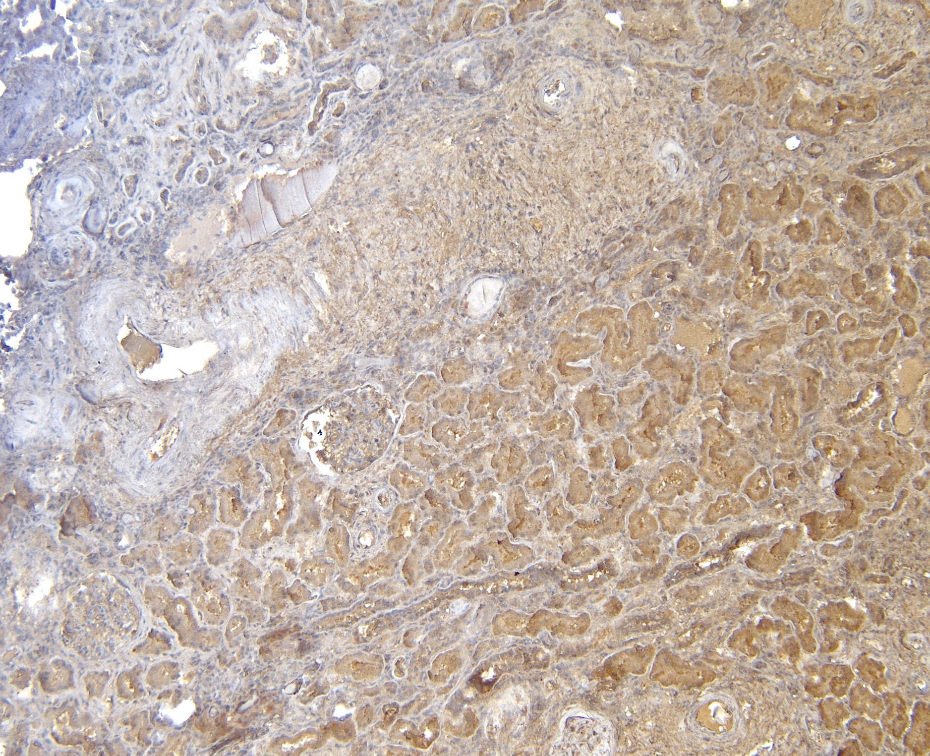
IHC Results Paraffin embedded Human Kidney. Recommended concentration: 5µg/ml. | |
ELISA Detection Limit Antibody detection limit dilution 1:8000. | |
Western Blot Approx 70kDa band observed in Human Heart lysates (calculated MW of 71.3kDa according to NP_001446.1). Recommended concentration: 0.1-1 µg/ml. Primary incubation was 1 hour. Preliminary testing was unsuccessful on Mouse for this particular batch. | |
Application Type Pep-ELISA, WB, IHC |
Goat Anti-FOXO3A / FOXO3 / FKHRL1 Antibody
$431.00
| SKU | Unit Size | Price |
|---|---|---|
Select a unit size:
Documents |



