Formulation Supplied at 0.5 mg/ml in Tris saline, 0.02% sodium azide, pH7.3 with 0.5% bovine serum albumin.
| |
Unit Size 100 µg | |
Storage Instructions Aliquot and store at -20°C. Minimize freezing and thawing. | |
Synonym / Alias Names FMRD|FH|fumarase|MCUL1|MCL|LRCC|HLRCC|fumarate hydratase | |
Accession ID NP_000134.2 | |
Blocking Peptide EBP07874 | |
Immunogen Peptide with sequence C-HPNDHVNKSQSSND, from the internal region of the protein sequence according to NP_000134.2. | |
Peptide Sequence C-HPNDHVNKSQSSND | |
Purification Method Purified from goat serum by ammonium sulphate precipitation followed by antigen affinity chromatography using the immunizing peptide. | |
Shipping Instructions Refrigerated | |
Predicted Species Human, Mouse, Rat, Dog | |
Reactive Species Human | |
Human Gene ID 2271 | |
Mouse Gene ID 14194 | |
Rat Gene ID 24368 | |
Product Grade ![]() | |
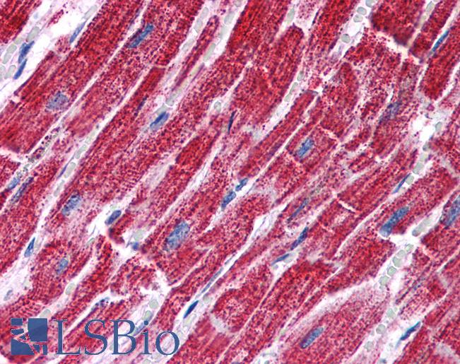
IHC Results Paraffin embedded Human Skeletal Muscle and Heart. Recommended concentration: 3.75µg/ml. | |
ELISA Detection Limit Antibody detection limit dilution 1:64000. | |
Western Blot Approx 48kDa band observed in Human Kidney, Liver and Lung lysates (calculated MW of 54.6kDa according to NP_000134.2). The observed molecular weight corresponds to earlier findings with antibodies from different sources. Recommended concentration: 0.01-0.03µg/ml. Primary incubation was 1 hour. | |
Application Type Pep-ELISA, WB, IHC |
Goat Anti-Fumarase / FH Antibody
$431.00
| SKU | Unit Size | Price |
|---|---|---|
Select a unit size:
Documents |



