Formulation Supplied at 0.5 mg/ml in Tris saline, 0.02% sodium azide, pH7.3 with 0.5% bovine serum albumin.
| |
Unit Size 100 µg | |
Storage Instructions Aliquot and store at -20°C. Minimize freezing and thawing. | |
Synonym / Alias Names guanosine 5\1-triphosphate cyclohydrolase I|GTP cyclohydrolase 1|GTPCH1|GTP-CH-1|GCH|DYT5|GTP cyclohydrolase 1 (dopa-responsive dystonia)|GCH1 | |
Accession ID NP_000152.1 ; NP_001019195.1 ; NP_001019241.1 ; NP_001019242.1 | |
Blocking Peptide EBP08354 | |
Immunogen Peptide with sequence C-GKVHIGYLPNKQ, from the internal region of the protein sequence according to NP_000152.1 ; NP_001019195.1 ; NP_001019241.1 ; NP_001019242.1 . | |
Product Comments This antibody is expected to recognize all four isoforms (NP_000152.1 ; NP_001019195.1 ; NP_001019241.1 ; NP_001019242.1) | |
Peptide Sequence C-GKVHIGYLPNKQ | |
Purification Method Purified from goat serum by ammonium sulphate precipitation followed by antigen affinity chromatography using the immunizing peptide. | |
Shipping Instructions Refrigerated | |
Predicted Species Human, Mouse, Rat | |
Reactive Species Human | |
Human Gene ID 2643 | |
Mouse Gene ID 14528 | |
Rat Gene ID 29244 | |
Product Grade ![]() | |
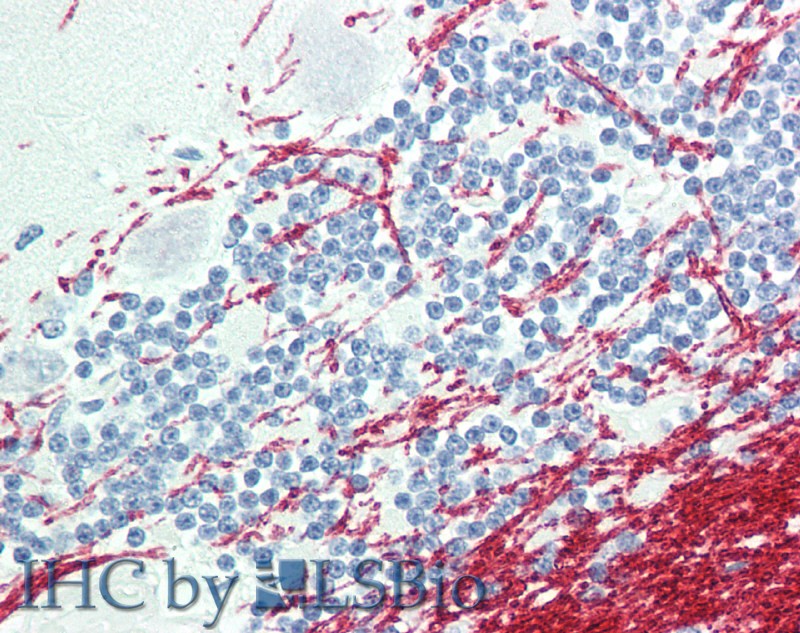
IHC Results Paraffin embedded Human Brain (Cerebellum) and Small Intestine. Recommended concentration: 5µg/ml. | |
ELISA Detection Limit Antibody detection limit dilution 1:16000. | |
Application Type Pep-ELISA, IHC |
Goat Anti-GCH1 Antibody
$431.00
| SKU | Unit Size | Price |
|---|---|---|
Select a unit size:
Documents |


